❤️❤️BỆNH VIỆN XUYÊN Á- 8 NĂM MỘT HÀNH TRÌNH “TỰ TIN -ĐOÀN KẾT- VĨ ĐẠI” 15/04/2014- 15/04/2022❤️

Sáng nay Trong buổi giao ban Hệ thống BVXA, Ban lãnh đạo bệnh viện cùng các y bác sĩ toàn hệ thống đã có những giây phút xúc động và cùng nhau ôn lại kỷ niệm về chặn đường 8 năm phát triển, những kết quả đạt được và những bài học giá trị sau […]

Đọc thêm

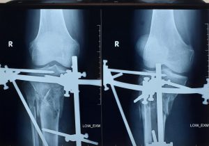
??PHẪU THUẬT THÀNH CÔNG CỨU SỐNG BỆNH NHÂN ĐA CHẤN THƯƠNG DO TAI NẠN GIAO THÔNG KHÔNG CÓ NGƯỜI NHÀ.

Vừa qua BVĐK Xuyên Á tiếp nhận trường hợp bệnh nhân Nam 41t với tình trạng bệnh lơ mơ, kích thích đau đáp ứng, trên người có mùi rượu. Qua khai thác ban đầu từ người đưa BN đến cấp cứu được biết bệnh nhân chạy xe máy bị xe tải đụng được sơ cứu […]

Đọc thêm

??CAN THIỆP NỘI MẠCH KỊP THỜI CỨU SỐNG BỆNH NHÂN RÒ ĐỘNG MẠCH CẢNH- XOANG SAU CHẤN THƯƠNG SỌ NÃO

Vừa qua, khoa Sọ não cột sống II thuộc hệ thống BVĐK Xuyên Á tiếp nhận trường hợp bệnh nhân nam (62 tuổi) đến khám với triệu chứng đau đầu, nghe ù tai theo tiếng mạch đập, giảm thính lực tai trái nặng. Qua khai thác bệnh sử được biết khoảng 2 tháng trước bệnh […]

Đọc thêm

?HỘI THẢO: TÌM HIỂU VỀ BỆNH SUY TIM

Ngày 06/04/2022 BVĐK Xuyên Á tổ chức Hội thảo với chủ đề “TÌM HIỂU VỀ BỆNH SUY TIM” do BS.CKI Đỗ Chiêu Phát- Trưởng khoa Nội tim mạch BVĐK Xuyên Á chủ trì, với đông đảo quý bà con tham gia. Hội thảo chia sẻ, cung cấp những kiến thức hữu ích về cách nhận […]

Đọc thêm
Gọi cấp cứu
Tổng đài: 1800 9075 Cấp cứu 24/24: (083) 9999 910 CC Củ Chi: (0283) 7966 999 CC Vĩnh Long: (0270) 6250 999 CC Long An: (0272) 3649 999 CC Tây Ninh: (0276) 3762 999