TUYỂN DỤNG NHÂN VIÊN BẢO TRÌ TRANG THIẾT BỊ Y TẾ.
Để đáp ứng tốt nhu cầu mở rộng hoạt động, BVXA tuyển dụng vị trí nhân viên bảo trì trang thiết bị y tế
Để đáp ứng tốt nhu cầu mở rộng hoạt động, BVXA tuyển dụng vị trí nhân viên bảo trì trang thiết bị y tế
Ngày 01/07/2019, Bệnh viện Đa khoa Xuyên Á tổ chức buổi hội thảo “Chẩn đoán và điều trị Đục thủy tinh thể bằng phương pháp Phaco & Tật khúc xạ”.
Trưa ngày 26/6/2019, Khoa Ngoại Thần Kinh – Bệnh Viện Đa Khoa Xuyên Á (BVXA) tiếp nhận 1 trường hợp bệnh nhân bị đánh nứt sọ phức tạp, máu tụ ngoài màng kèm dập não xuất huyết thái dương, tình trạng có thể chuyển biến xấu, gây nguy hiểm tới tính mạng bất cứ lúc nào. Rất may là bệnh nhân đã được phẫu thuật cấp cứu kịp thời, giữ được mạng sống.
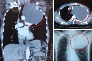
Ngày 26/6/2019, Khoa Phẫu thuật Tim mạch và Lồng ngực – Bệnh viện Đa Khoa Xuyên Á TP.HCM vừa phẫu thuật cho bệnh nhân có u trung thất kích thước khổng lồ, xâm lấn rộng các cơ quan ở đỉnh lồng ngực trái.
Ngày 28/06/2019, Bệnh viện Đa khoa Xuyên Á tổ chức buổi hội thảo “Phòng ngừa và phát hiện sớm bệnh lý bàn chân đái tháo đường”. Trong buổi hội thảo, do BS.CKI. Trần Quý Cầu – Trưởng Khoa Nội Nội Tiết BVXA – đã chia sẻ những kiến thức hữu ích, giải đáp các thắc mắc xoay quanh việc phòng ngừa và phát hiện sớm bệnh lý bàn chân đái tháo đường một cách tận tình giúp quý bà con hiểu rõ hơn về bệnh, và các phương pháp phòng bệnh tốt nhất cho mình.