BVXA – LÃNH ĐẠO TỈNH TÂY NINH ĐẾN GIÁM SÁT VÀ CHÚC TẾT BVXA TÂY NINH
Phó Chủ Tịch Thường Trực UBND Tỉnh Tây Ninh đã đánh giá rất cao nỗ lực và tâm huyết của Bệnh viện Xuyên Á (BVXA) vì chỉ trong vòng 3 tháng mà tiến độ đã vượt 50% so với dự kiến!
Phó Chủ Tịch Thường Trực UBND Tỉnh Tây Ninh đã đánh giá rất cao nỗ lực và tâm huyết của Bệnh viện Xuyên Á (BVXA) vì chỉ trong vòng 3 tháng mà tiến độ đã vượt 50% so với dự kiến!
Phẫu thuật u não là một kỹ thuật khó, ngoài đòi hỏi kỹ năng của phẫu thuật viên, việc hỗ trợ của các trang thiết bị hiện đại cũng góp phần không nhỏ vào thành công của cuộc phẫu thuật. Ngày nay, với việc sử dụng hệ thống định vị trong phẫu thuật, phẫu thuật viên có thể dể dàng xác định được vị trí, kích thước u, từ đó chọn đường mổ nhỏ và gần khối u nhất, hạn chế làm tổn thương những vùng chức năng của não.
Nhân dịp Tết Nguyên Đán Kỷ Hợi 2019, BVXA kính chúc quý bà con một mùa xuân mới an lành, tràn đầy sức khỏe, an khang thịnh vượng và gặp nhiều may mắn.
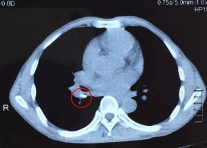
Ngày 17/01/2019, Bệnh viện Đa khoa Xuyên Á – Vĩnh Long (BVXA – VL) tiếp nhận điều trị cho bệnh nhân nam T.V.H. 53 tuổi, ngụ tỉnh Đồng Tháp vào viện với triệu chứng ho kéo dài suốt một tháng, đã được điều trị tại bệnh viện địa phương nhưng không thuyên giảm. Lần này, […]
Dây rốn bám màng là một tình trạng dây rốn bám ở mép bánh nhau gây nguy hiểm hiếm gặp trong thai kì, tỉ lệ 1/2500 ca. Do dây rốn bám xa trung tâm bánh nhau nên làm giảm vận chuyển oxy và chất dinh dưỡng đến thai khi xuất hiện cơn gò tử cung. Do đó, khi sản phụ vào chuyển dạ, tử cung xuất hiện những cơn gò sẽ gây ra tình trạng chèn ép các mạch máu nuôi thai, suy thai hoặc thai chết lưu trong tử cung nếu không phát hiện kịp thời.