CẢNH BÁO NHỒI MÁU CƠ TIM Ở NGƯỜI LỚN TUỔI MẮC NHIỀU BỆNH NỀN PHỨC TẠP
Các bác sĩ khoa Can Thiệp Tim Mạch đã thực hiện thành công ca can thiệp đặt stent mạch vành, cứu sống cụ bà 70 tuổi khỏi tình trạng nguy kịch do nhồi máu cơ tim cấp kèm phù phổi cấp. Trường hợp này tiếp tục gióng lên hồi chuông cảnh báo về nguy cơ tim mạch âm thầm ở người cao tuổi có nhiều bệnh lý nền phức tạp.

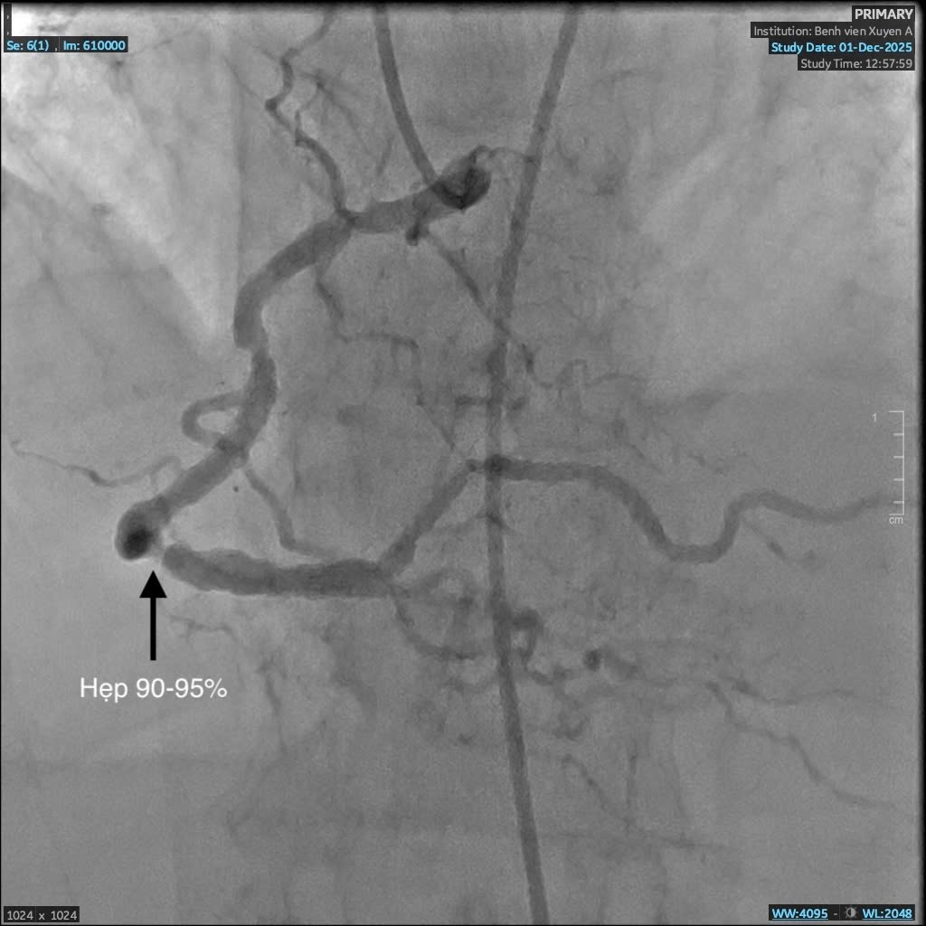
Mạch máu trước can thiệp

Mạch máu trước can thiệp hẹp đến 95%
Kịp thời phát hiện và can thiệp stent thành công cho cụ bà bị hẹp nặng ba nhánh mạch vành kèm vôi hóa
Nửa đêm, bà C. (70 tuổi, Củ Chi) lên cơn khò khè, khó thở, đau nặng ngực. Gia đình cho bà dùng thuốc trị hen suyễn, nhưng tình trạng không cải thiện. Nhận thấy điều bất ổn, gia đình liền đưa bà đến Bệnh viện Đa khoa Xuyên Á cấp cứu.
Bà C. vốn dĩ là một bệnh nhân lớn tuổi, nhiều năm nay bà sống chung với vô số bệnh lý nền phức tạp như: tăng huyết áp, đái tháo đường, suy thận, hen suyễn, suy tim.
Ngay khi tiếp nhận, các bác sĩ khoa Cấp Cứu đã thăm khám và ban đầu xác định bệnh nhân bị phù phổi cấp. Người bệnh được chuyển lên khoa Hồi Sức Tích Cực để điều trị ổn định tình trạng suy hô hấp, sau đó chuyển bệnh nhân lên phòng DSA chụp mạch máu nuôi tim kiểm tra tình trạng tim mạch. Kết quả chụp động mạch vành phát hiện bà C. bị hẹp nặng ba nhánh mạch vành, rơi vào nguy kịch nhồi máu cơ tim. Đây là nguyên nhân chính khiến bà khó thở, đau nặng ngực.
Với bệnh lý nhồi máu cơ tim nguy hiểm này, nếu không được phát hiện và can thiệp kịp thời, người bệnh sẽ rơi vào nguy cơ sốc tim, rối loạn nhịp dẫn đến tử vong. Không chần chừ, các bác sĩ khoa Can Thiệp Tim Mạch quyết định can thiệp nong và đặt stent động mạch vành nhằm tái thông dòng máu nuôi tim.
Sau can thiệp, tình trạng huyết động của bệnh nhân dần ổn định, triệu chứng khó thở giảm rõ rệt, người bệnh qua cơn nguy kịch. Bệnh nhân tiếp tục được theo dõi sát và điều trị tích cực tại khoa Can Thiệp Tim Mạch, kết hợp kiểm soát các bệnh lý nền như tăng huyết áp, đái tháo đường và suy thận.
BS. Giản Tư Trí – khoa Can Thiệp Tim Mạch BVĐK Xuyên Á cho biết: “Bệnh nhân C. có tiền căn hen phế quản vào viện trong tình trạng suy hô hấp, việc chẩn đoán gặp nhiều khó khăn. Trong quá trình can thiệp, dưới hướng dẫn của hệ thống số hóa xóa nền DSA, ê-kíp nhận thấy mạch vành của bệnh nhân bị vôi hóa nhiều do đái tháo đường, suy thận lâu năm. Vôi hóa là “kẻ thù” của can thiệp mạch vành, gây khó khăn cho việc nong và đặt stent, thậm chí khiến việc can thiệp thất bại. Nhưng với sự tỉ mỉ và kinh nghiệm xử trí nhiều ca đặt stent phức tạp trước đó, các bác sĩ khoa Can Thiệp Tim Mạch đã vượt qua thách thức và đặt stent thành công, tái thông mạch máu nuôi tim, cứu bà C. qua cơn nguy kịch.”

Mạch máu sau khi đặt stent

Sau can thiệp stent, tái thông được mạch máu
Cảnh báo nguy cơ nhồi máu cơ tim ở người lớn tuổi mắc nhiều bệnh lý nền
Từ trường hợp bệnh nhân C. cho thấy, ở người cao tuổi, đặc biệt là người có nhiều bệnh nền, nhồi máu cơ tim không phải lúc nào cũng biểu hiện bằng cơn đau ngực điển hình. Thay vào đó, bệnh có thể khởi phát bằng các triệu chứng không đặc hiệu như khó thở, mệt. Điều này dễ khiến người bệnh và gia đình bỏ sót, dẫn đến nhập viện muộn, làm tăng nguy cơ biến chứng và tử vong.
Ca bệnh này cho thấy sự nguy hiểm của việc chồng lấp nhiều bệnh lý nền ở người cao tuổi. Tăng huyết áp, đái tháo đường, suy thận, suy tim hay bệnh hô hấp mạn tính không chỉ làm tăng nguy cơ nhồi máu cơ tim mà còn khiến việc chẩn đoán và điều trị trở nên phức tạp hơn, nguy cơ biến chứng và tử vong cao hơn.
Bác sĩ Giản Tư Trí khuyến cáo, những người bị tăng huyết áp, đái tháo đường, mỡ máu, suy thận mạn, hút thuốc lá là những đối tượng có nguy cơ cao nhồi máu cơ tim. Khi có biểu hiện đau ngực, khó thở, giảm khả năng gắng sức thì nên đến bệnh viện ngay để được thăm khám và điều trị kịp thời. Đặc biệt, người lớn tuổi mắc nhiều bệnh nền và có nguy cơ cao mắc bệnh lý động mạch vành thì nên theo dõi tái khám và tầm soát bệnh lý bằng các cận lâm sàng như siêu âm tim, đo điện tim, CT mạch vành để giảm nguy cơ bị nhồi máu cơ tim trong tương lai.
Tầm soát và theo dõi sức khỏe tim mạch định kỳ chính là “chìa khóa” giúp bảo vệ tính mạng cho người cao tuổi có bệnh nền phức tạp, tránh những biến cố nguy hiểm xảy ra bất ngờ, đặc biệt trong đêm khuya khi việc cấp cứu gặp nhiều khó khăn.
Để được tư vấn và đặt lịch khám các bệnh lý tại Bệnh viện Đa khoa Xuyên Á, quý khách có thể liên hệ:
BỆNH VIỆN ĐA KHOA XUYÊN Á – TP. HỒ CHÍ MINH
Địa chỉ: Số 42, đường Phan Văn Khải, ấp Chợ, xã Củ Chi, TP. Hồ Chí Minh
Tổng đài miễn phí: 1800 9075 nhấn phím 1
Facebook: BVXA – Bệnh Viện Đa Khoa Xuyên Á
–
BỆNH VIỆN ĐA KHOA XUYÊN Á – VĨNH LONG
Địa chỉ: Số 68E Phạm Hùng, Phường Long Châu, Tỉnh Vĩnh Long
Tổng đài miễn phí: 1800 9075 nhấn phím 2
Facebook: BVXA – Bệnh Viện Đa Khoa Xuyên Á Vĩnh Long
–
BỆNH VIỆN ĐA KHOA XUYÊN Á TÂY NINH
Địa chỉ: Số 10 Xuyên Á, ấp Trâm Vàng 3, phường Gò Dầu, tỉnh Tây Ninh
Tổng đài miễn phí: 1800 9075 nhấn phím 3
Facebook: BVXA – Bệnh Viện Đa Khoa Xuyên Á Tây Ninh
–
BỆNH VIỆN ĐA KHOA XUYÊN Á LONG AN
Địa chỉ: Số 459, Đường tỉnh 825, Ô 4, Khu A, xã Hậu Nghĩa, tỉnh Tây Ninh
Tổng đài tư vấn: 1800 9075 – Nhấn phím 4
Facebook: BVXA – Bệnh Viện Đa Khoa Xuyên Á Long An
Chưa có bình luận nào.