ĐI KHÁM ĐAU LƯNG, TÌNH CỜ PHÁT HIỆN TÚI PHÌNH MẠCH MÁU NÃO
Vào viện thăm khám vì bị đau lưng kéo dài, bà S.V (52 tuổi, tỉnh An Giang) tình cờ được phát hiện có túi phình mạch máu não, nguy cơ vỡ túi phình. Các bác sĩ Khoa Sọ Não Cột Sống 2 Bệnh viện Đa khoa Xuyên Á đã thực hiện can thiệp nội mạch nút túi phình bằng coil giúp loại bỏ hoàn toàn túi phình, ngăn chặn nguy cơ vỡ túi phình đe dọa tính mạng.
Từ triệu chứng đau lưng đơn giản đến phình mạch máu não nguy hiểm
Bà S.V (52 tuổi, An Giang) đến Bệnh viện Đa khoa Xuyên Á thăm khám do đau lưng kéo dài, gây khó khăn khi đi lại, vận động và sinh hoạt hằng ngày. Trong quá trình khai thác bệnh sử, người bệnh cho biết thêm về tình trạng đau đầu âm ỉ suốt hơn 6 tháng nay của mình. Đây là triệu chứng tưởng chừng không liên quan đến bệnh lý cột sống, nhưng lại khiến bác sĩ nghi ngờ có bất thường tiềm ẩn. Vì vậy, ngoài chỉ định chụp MRI cột sống, bệnh nhân được chỉ định chụp thêm MRI sọ não và CT mạch máu. Kết quả ghi nhận, bà bị thoát vị đĩa đệm tại vị trí L4–L5. Đặc biệt, các bác sĩ đã phát hiện người bệnh có một túi phình động mạch cảnh trong bên trái, kích thước khoảng 7 × 7 mm, tiềm ẩn nguy cơ vỡ cao.
Túi phình mạch máu não có thể hiểu đơn giản là một đoạn thành mạch bị yếu, phồng lên như một quả bóng nhỏ. Nếu túi phình này bị vỡ sẽ dẫn đến xuất huyết não, đột quỵ, nguy cơ tử vong cao nếu không được cấp cứu kịp thời. Điều đáng lo ngại là chúng thường không gây triệu chứng rõ ràng cho đến khi vỡ. Và với trường hợp người bệnh này, nguy cơ vỡ túi phình càng cao hơn khi bà có kèm bệnh tăng huyết áp – một yếu tố làm tăng áp lực lên thành mạch và khiến túi phình bị vỡ bất cứ khi nào.
Trước tình huống này, các bác sĩ đã đưa ra chiến lược điều trị hợp lý: xử lý túi phình mạch máu não trước để loại bỏ nguy cơ nguy hiểm tức thì, sau đó mới tiếp tục điều trị thoát vị đĩa đệm cho bệnh nhân.
Can thiệp nội mạch nút túi phình bằng coil: ít xâm lấn, hiệu quả cao
Túi phình của bệnh nhân V. nằm ở vị trí không thể tiếp cận bằng phẫu thuật. Vì thế, sau khi hội chẩn, các bác sĩ thống nhất giải pháp can thiệp nội mạch bằng coil (vòng xoắn kim loại).

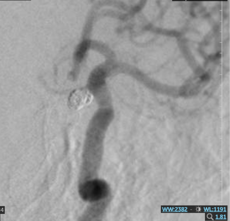
Hình ảnh túi phình mạch máu não trước can thiệp

Hình ảnh túi phình mạch máu não sau can thiệp
Can thiệp nội mạch nút túi phình bằng coil là phương pháp ít xâm lấn, sử dụng ống thông luồn từ mạch máu ngoại vi lên đến não, tiếp cận túi phình. Sau đó, đưa các vòng xoắn kim loại cực nhỏ (coil) vào bên trong túi phình. Các coil này sẽ chặn dòng máu vào túi phình, từ đó “bịt kín” túi phình và ngăn ngừa nguy cơ vỡ túi phình, bảo tồn mạch máu. Can thiệp nội mạch nút túi phình bằng coil là phương pháp đã được đánh giá là hiệu quả, được áp dụng tại nhiều cơ sở y tế, mang lại lợi ích cho người bệnh như:
- Ít xâm lấn, không cần phẫu thuật mở hộp sọ
- Thời gian hồi phục nhanh
- An toàn, hiệu quả, tỷ lệ thành công cao
- Không để lại vết sẹo lớn trên đầu như phẫu thuật, mang tính thẩm mỹ cao.
BS. Lục Đình Phương – Khoa Sọ Não Cột Sống 2 Bệnh viện Đa khoa Xuyên Á cho biết: “Ca can thiệp này tương đối phức tạp. Túi phình của bệnh nhân có kích thước tương đối lớn, cổ túi phình khá rộng, lại nằm ở góc khuất – góc đảo ngược của dòng chảy mạch máu, gây khó khăn trong việc chọn lọc đưa ống thông vào và đặt coil can thiệp chính xác. Dù vậy, với kinh nghiệm và kỹ năng chuyên môn, ekip bác sĩ đã can thiệp thành công, loại bỏ hoàn toàn túi phình, không để lại biến chứng thần kinh.”
Sau can thiệp, sức khỏe bệnh nhân ổn định và đặc biệt là tình trạng đau đầu đã biến mất. Hiện tại, bệnh nhân đã xuất viện và sẽ tiếp tục điều trị thoát vị đĩa đệm trong thời gian tới. Sau khi xuất viện, người bệnh cần kiểm soát chặt chẽ bệnh lý tăng huyết áp nhằm giảm áp lực lên thành mạch, phòng ngừa túi phình tái phát hoặc vỡ lại.
Qua ca bệnh này, bác sĩ Lục Đình Phương khuyến cáo người dân: Đừng bỏ qua các triệu chứng tưởng chừng bình thường như những cơn đau đầu âm ỉ, kéo dài, cần chủ động thăm khám và tầm soát sớm.Túi phình mạch máu não có thể tồn tại âm thầm trong thời gian dài, nhưng khi vỡ có thể gây hậu quả đặc biệt nghiêm trọng, thậm chí đe dọa tính mạng người bệnh nhanh chóng.
Để được tư vấn và đặt lịch khám các bệnh lý tại Bệnh viện Đa khoa Xuyên Á, quý khách có thể liên hệ:
BỆNH VIỆN ĐA KHOA XUYÊN Á – TP. HỒ CHÍ MINH
Địa chỉ: Số 42, đường Phan Văn Khải, ấp Chợ, xã Củ Chi, TP. Hồ Chí Minh
Tổng đài miễn phí: 1800 9075 nhấn phím 1
Facebook: BVXA – Bệnh Viện Đa Khoa Xuyên Á
–
BỆNH VIỆN ĐA KHOA XUYÊN Á – VĨNH LONG
Địa chỉ: Số 68E Phạm Hùng, Phường Long Châu, Tỉnh Vĩnh Long
Tổng đài miễn phí: 1800 9075 nhấn phím 2
Facebook: BVXA – Bệnh Viện Đa Khoa Xuyên Á Vĩnh Long
–
BỆNH VIỆN ĐA KHOA XUYÊN Á TÂY NINH
Địa chỉ: Số 10 Xuyên Á, khu phố Trâm Vàng 3, phường Gò Dầu, tỉnh Tây Ninh
Tổng đài miễn phí: 1800 9075 nhấn phím 3
Facebook: BVXA – Bệnh Viện Đa Khoa Xuyên Á Tây Ninh
–
BỆNH VIỆN ĐA KHOA XUYÊN Á LONG AN
Địa chỉ: Số 459, Đường tỉnh 825, Ô 4, Khu A, xã Hậu Nghĩa, tỉnh Tây Ninh
Tổng đài tư vấn: 1800 9075 – Nhấn phím 4
Facebook: BVXA – Bệnh Viện Đa Khoa Xuyên Á Long An
Chưa có bình luận nào.