MỔ KHẨN CỨU NAM THANH NIÊN BỊ THANH SẮT ĐÂM XUYÊN CÁNH TAY
Một tai nạn lao động nghiêm trọng vừa xảy ra khi nam thanh niên bị thanh sắt đâm xuyên cánh tay trong lúc làm việc tại công trình xây dựng. Nhờ được cấp cứu và phẫu thuật kịp thời, người bệnh đã qua cơn nguy hiểm và hồi phục tốt sau điều trị.
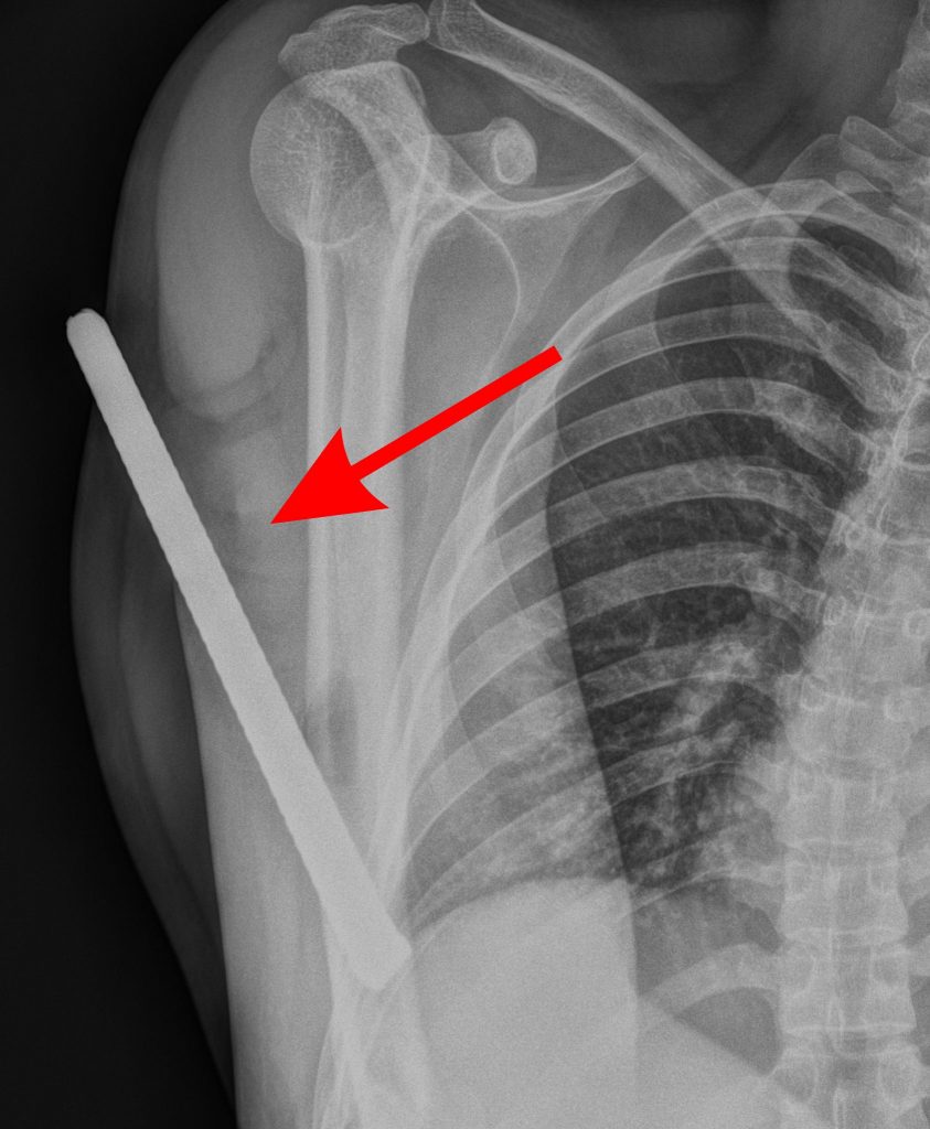
Thanh sắt dài gần 30cm đâm xuyên cánh tay
Trong lúc đang làm việc, anh T.T.B (30 tuổi, ngụ tại TP.HCM) không may trượt ngã và bị thanh sắt dài gần 30cm đâm vào cánh tay. Ngay sau sự cố, đồng nghiệp nhanh chóng đưa anh đến Bệnh viện Đa khoa Xuyên Á Đức Hòa để cấp cứu.
Khẩn trương thăm khám và đánh giá tổn thương
Tại Khoa Cấp cứu, các bác sĩ nhanh chóng thăm khám và ghi nhận dị vật đâm xuyên từ mặt sau đầu trên cánh tay phải, không thấy đầu còn lại của dị vật.
Kết quả siêu âm Doppler mạch máu chưa phát hiện bất thường. Người bệnh vẫn cử động được cổ tay và các ngón tay phải, mạch quay bắt rõ. Tuy nhiên, vận động gấp – duỗi khuỷu tay phải bị hạn chế.
Người bệnh được xử trí ban đầu bằng kháng sinh, thuốc giảm đau và tiêm huyết thanh kháng độc tố uốn ván tinh chế (SAT) nhằm phòng ngừa biến chứng nhiễm trùng uốn ván.

Hình ảnh X-Quang

Hình ảnh X-Quang
Phẫu thuật thám sát lấy dị vật và phục hồi tổn thương
Sau khi hội chẩn chuyên khoa, các bác sĩ quyết định tiến hành phẫu thuật thám sát, cắt lọc vết thương và lấy dị vật ra khỏi cơ thể.
Trong quá trình mổ, ê-kíp ghi nhận thanh sắt đâm xuyên cánh tay từ 1/3 trên xương cánh tay xuống vùng đầu dưới xương cánh tay phải, gây đứt một phần gân cơ nhị đầu và đầu dài gân cơ tam đầu cánh tay, rách màng xương cánh tay và lẫn nhiều đất cát trong vết thương.
Các bác sĩ đã cẩn trọng lấy dị vật, làm sạch kỹ vết thương, kiểm soát cầm máu, đặt dẫn lưu và khâu phục hồi theo đúng cấu trúc giải phẫu.
Hồi phục tốt sau hơn một tuần điều trị
Nhờ được xử trí kịp thời và phối hợp điều trị hiệu quả, ca phẫu thuật diễn ra an toàn. Sau mổ, người bệnh được chuyển đến Khoa Chấn thương Chỉnh hình để tiếp tục theo dõi và chăm sóc.
Sau hơn một tuần điều trị tích cực, vết thương hồi phục tốt, chức năng vận động cải thiện rõ rệt. Người bệnh đã được xuất viện và trở về nhà trong niềm vui của gia đình.

Hình ảnh bác sĩ và bệnh nhân bị thanh sắt đâm xuyên cánh tay sau phẫu thuật
Khuyến cáo từ bác sĩ:
Theo BS.CKII. Triệu Anh Đức – Trưởng khoa Chấn thương Chỉnh hình, Bệnh viện Đa khoa Xuyên Á Đức Hòa, bệnh viện thường xuyên tiếp nhận nhiều trường hợp tai nạn lao động bị dị vật đâm xuyên như đinh, thanh sắt, mảnh sành… Đây đều là những tổn thương nghiêm trọng, có nguy cơ để lại di chứng nặng nề nếu không được xử trí kịp thời và đúng cách.
Người dân khi gặp các tai nạn tương tự cần lưu ý:
👉 Không tự ý rút dị vật ra khỏi cơ thể, vì có thể gây chảy máu ồ ạt hoặc làm tổn thương nặng hơn.
👉 Nhanh chóng đưa người bệnh đến cơ sở y tế có chuyên khoa chấn thương chỉnh hình để được thăm khám và xử trí đúng cách.
👉Trong quá trình lao động, sản xuất, trang bị đầy đủ các phương tiện phòng hộ và nghiêm túc tuân thủ quy định an toàn lao động.
Khẳng định năng lực chuyên môn và sự tận tâm của đội ngũ bác sĩ
Thành công của ca phẫu thuật một lần nữa cho thấy năng lực chuyên môn vững vàng, kinh nghiệm xử trí chấn thương phức tạp cùng sự phối hợp nhịp nhàng giữa các chuyên khoa tại Bệnh viện Đa khoa Xuyên Á Đức Hòa.
Với hệ thống trang thiết bị hiện đại, quy trình cấp cứu nhanh chóng và đội ngũ bác sĩ – điều dưỡng tận tâm, bệnh viện đã kịp thời cứu chữa và giúp người bệnh phục hồi chức năng vận động, sớm trở lại sinh hoạt bình thường.
Để được tư vấn và đặt lịch khám các bệnh lý tại Bệnh viện Đa khoa Xuyên Á, quý khách có thể liên hệ:
BỆNH VIỆN ĐA KHOA XUYÊN Á – TP. HỒ CHÍ MINH
Địa chỉ: Số 42, đường Phan Văn Khải, ấp Chợ, xã Củ Chi, TP. Hồ Chí Minh
Tổng đài miễn phí: 1800 9075 nhấn phím 1
Facebook: BVXA – Bệnh Viện Đa Khoa Xuyên Á
–
BỆNH VIỆN ĐA KHOA XUYÊN Á – VĨNH LONG
Địa chỉ: Số 68E Phạm Hùng, Phường Long Châu, Tỉnh Vĩnh Long
Tổng đài miễn phí: 1800 9075 nhấn phím 2
Facebook: BVXA – Bệnh Viện Đa Khoa Xuyên Á Vĩnh Long
–
BỆNH VIỆN ĐA KHOA XUYÊN Á TÂY NINH
Địa chỉ: Số 10 Xuyên Á, khu phố Trâm Vàng 3, phường Gò Dầu, tỉnh Tây Ninh
Tổng đài miễn phí: 1800 9075 nhấn phím 3
Facebook: BVXA – Bệnh Viện Đa Khoa Xuyên Á Tây Ninh
–
BỆNH VIỆN ĐA KHOA XUYÊN Á LONG AN
Địa chỉ: Số 459, Đường tỉnh 825, Ô 4, Khu A, xã Hậu Nghĩa, tỉnh Tây Ninh
Tổng đài tư vấn: 1800 9075 – Nhấn phím 4
Facebook: BVXA – Bệnh Viện Đa Khoa Xuyên Á Long An
Chưa có bình luận nào.