NGOẠN MỤC CỨU SỐNG BỆNH NHÂN RỐI LOẠN NHỊP TIM NGUY KỊCH BẰNG KỸ THUẬT CẤY MÁY KHỬ RUNG TIM HIỆN ĐẠI
Các bác sĩ Khoa Nội Tim mạch – Can thiệp Tim mạch, Bệnh viện Đa khoa Xuyên Á Vĩnh Long vừa thực hiện thành công kỹ thuật cấy máy khử rung tim tự động (ICD) 2 buồng trên hệ thống DSA hiện đại, kịp thời cứu sống một bệnh nhân nữ 79 tuổi bị rối loạn nhịp tim nặng, nhiều lần rơi vào tình trạng ngưng tim nguy hiểm đến tính mạng.
Bệnh nhân là bà N.T.S. (79 tuổi, ngụ Vĩnh Long), nhập viện trong tình trạng khó thở, hồi hộp trống ngực, chóng mặt, choáng váng nhiều, nghỉ ngơi không thuyên giảm. Nhận thấy dấu hiệu bất thường, gia đình đã nhanh chóng đưa bà đến cấp cứu tại Bệnh viện Đa khoa Xuyên Á Vĩnh Long.
Tại khoa Cấp cứu, bệnh nhân được các bác sĩ thăm khám khẩn trương, đo điện tim và thực hiện các xét nghiệm cần thiết. Kết quả điện tim cho thấy bệnh nhân bị Block nhĩ thất độ III – một dạng rối loạn dẫn truyền tim rất nặng. Ở tình trạng này, “đường dây điện” dẫn truyền xung động từ buồng tim trên xuống buồng tim dưới bị đứt hoàn toàn, khiến tim đập rất chậm, không bơm đủ máu nuôi não, dễ gây ngất và có thể ngưng tim đột ngột.

Hình ảnh điện tim của bệnh nhân rối loạn nhịp tim
Trong quá trình theo dõi sát, bệnh nhân bất ngờ xuất hiện cơn rối loạn nhịp tim ác tính gây ngưng tim, buộc êkip phải cấp cứu hồi sinh tim phổi và sốc điện khẩn cấp để giành lại sự sống. Sau hồi sức, nhịp tim của bệnh nhân vẫn rất chậm và phụ thuộc hoàn toàn vào máy hỗ trợ, nguy cơ tái phát ngưng tim luôn thường trực.

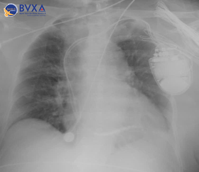
Hình ảnh cận lâm sàng
Trước diễn biến phức tạp và nguy hiểm, các bác sĩ đã hội chẩn chuyên sâu và thống nhất nâng bậc điều trị, chỉ định cấy máy khử rung tim tự động (ICD) 2 buồng – giải pháp tối ưu vừa giúp tạo nhịp điều trị tình trạng tim đập chậm, vừa bảo vệ bệnh nhân khỏi nguy cơ đột tử do rối loạn nhịp tim ác tính.
Ca can thiệp kéo dài khoảng 120 phút, được thực hiện trong bối cảnh bệnh nhân vừa trải qua cơn ngưng tim, huyết động chưa ổn định. Tuy nhiên, với trình độ chuyên môn cao, sự phối hợp nhịp nhàng và hệ thống trang thiết bị hiện đại, êkip can thiệp đã đặt điện cực đúng vị trí tối ưu, lập trình máy chính xác, giúp nhịp tim bệnh nhân ổn định trở lại.
Theo các bác sĩ Khoa Nội Tim mạch – Can thiệp Tim mạch, máy ICD hoạt động như một “vệ sĩ 24/7” của trái tim:
- Khi tim đập quá chậm, máy sẽ phát xung điện để duy trì nhịp tim đều đặn.
- Khi xuất hiện cơn rối loạn nhịp nguy hiểm có thể gây đột tử, máy sẽ tự động phóng dòng điện để s.ố.c tim, đưa tim trở về nhịp bình thường chỉ trong tích tắc.
ThS. BS. Thạch Hoàng Sơn – Phó Khoa Nội Tim mạch – Can thiệp Tim mạch, Bệnh viện Đa khoa Xuyên Á Vĩnh Long cho biết: cấy máy ICD là một trong những kỹ thuật tim mạch chuyên sâu, được khuyến cáo cho các bệnh nhân có nguy cơ cao đột tử do rối loạn nhịp thất nguy hiểm, block nhĩ thất nặng, hội chứng Brugada… Máy được cấy dưới da vùng dưới xương đòn, điện cực đi qua đường tĩnh mạch vào buồng tim phải, giúp theo dõi liên tục mọi hoạt động điện học của tim và can thiệp kịp thời khi xảy ra rối loạn nhịp đe dọa tính mạng.
Để được tư vấn và đặt lịch khám các bệnh lý tại Bệnh viện Đa khoa Xuyên Á, quý khách có thể liên hệ:
BỆNH VIỆN ĐA KHOA XUYÊN Á – TP. HỒ CHÍ MINH
Địa chỉ: Số 42, đường Phan Văn Khải, ấp Chợ, xã Củ Chi, TP. Hồ Chí Minh
Tổng đài miễn phí: 1800 9075 nhấn phím 1
Facebook: BVXA – Bệnh Viện Đa Khoa Xuyên Á
–
BỆNH VIỆN ĐA KHOA XUYÊN Á – VĨNH LONG
Địa chỉ: Số 68E Phạm Hùng, Phường Long Châu, Tỉnh Vĩnh Long
Tổng đài miễn phí: 1800 9075 nhấn phím 2
Facebook: BVXA – Bệnh Viện Đa Khoa Xuyên Á Vĩnh Long
–
BỆNH VIỆN ĐA KHOA XUYÊN Á TÂY NINH
Địa chỉ: Số 10 Xuyên Á, ấp Trâm Vàng 3, phường Gò Dầu, tỉnh Tây Ninh
Tổng đài miễn phí: 1800 9075 nhấn phím 3
Facebook: BVXA – Bệnh Viện Đa Khoa Xuyên Á Tây Ninh
–
BỆNH VIỆN ĐA KHOA XUYÊN Á LONG AN
Địa chỉ: Số 459, Đường tỉnh 825, Ô 4, Khu A, xã Hậu Nghĩa, tỉnh Tây Ninh
Tổng đài tư vấn: 1800 9075 – Nhấn phím 4
Facebook: BVXA – Bệnh Viện Đa Khoa Xuyên Á Long An
Chưa có bình luận nào.