PHÁT HIỆN U GAN PHỨC TẠP NHỜ CƠN ĐAU NHẸ VÙNG THƯỢNG VỊ
Cảm thấy đau nhẹ vùng thượng vị, cụ bà 73 tuổi đi khám thì phát hiện có khối u gan phức tạp trên nền xơ gan lâu năm. May mắn nhờ được phát hiện sớm, các bác sĩ Bệnh viện Đa khoa Xuyên Á đã phẫu thuật cắt bỏ khối u, giúp bà điều trị triệt căn ung thư nguyên phát tế bào gan. Câu chuyện của bà là lời cảnh tỉnh cho nhiều người bệnh gan mạn tính, đừng chủ quan với những triệu chứng nhỏ như cơn đau vùng thượng vị,…
Cảnh giác với cơn đau vùng thượng bị, tiềm ẩn nguy cơ u gan
Bà Đ. T. A (73 tuổi, Củ Chi) có tiền sử bị xơ gan, bà đang được theo dõi và điều trị nội khoa theo phác đồ của bác sĩ. Thời gian gần đây, bà thường có cảm giác đau vùng thượng vị, cơn đau có biểu hiện như đau dạ dày thông thường, bà nghĩ là do rối loạn tiêu hóa.
Cơn đau tiếp diễn thường xuyên ảnh hưởng đến việc ăn uống cũng như chất lượng cuộc sống của bà, nên người thân đã đưa bà đến Bệnh viện Đa khoa Xuyên Á thăm khám.
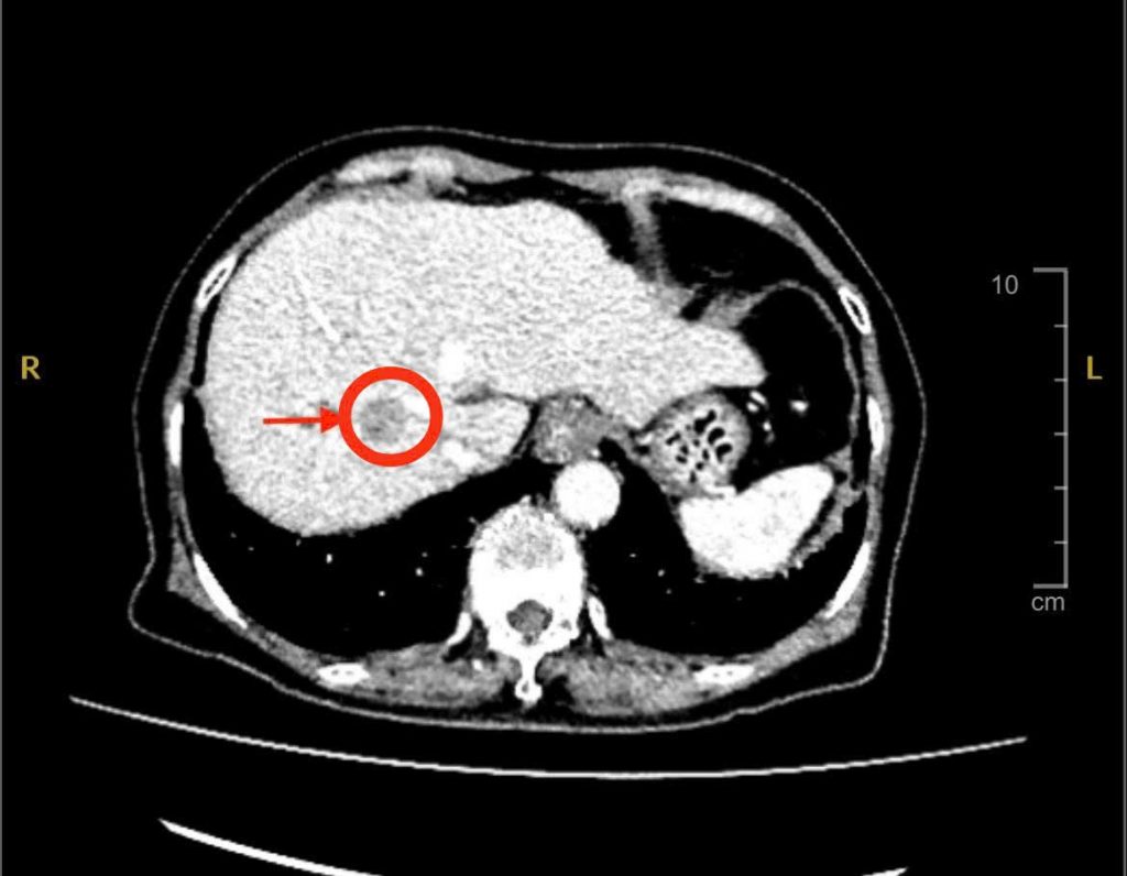
Với tiền sử bệnh xơ gan đang theo dõi và điều trị, xơ gan lại là yếu tố nguy cơ cao của ung thư gan, các bác sĩ nghi ngờ đây có thể là dấu hiệu đầu tiên của bệnh. Vì thế, bác sĩ chỉ định bà siêu âm bụng và chụp MSCT thì phát hiện có khối u gan bên phải với kích thước khoảng 2cm, nghĩ nhiều đến ung thư nguyên phát tế bào gan (HCC) – một dạng ung thư gan phổ biến ở người có bệnh nền xơ gan, viêm gan B hoặc viêm gan C.

Hình ảnh CT khối u gan
“Phẫu thuật cắt gan đối với khối ung thư nguyên phát tế bào gan là một trong những phương pháp điều trị triệt căn bệnh lý này. Tuy nhiên, đây là ca bệnh cần đánh giá kỹ lưỡng, vì bệnh nhân có nền xơ gan – yếu tố khiến việc phẫu thuật gan tiềm ẩn rủi ro cao.” ThS. BS. CKII. Phan Văn Sơn – Khoa Ngoại Tiêu Hóa Gan Mật Tụy Bệnh viện Đa khoa Xuyên Á chia sẻ.
Một cuộc hội chẩn đa chuyên khoa gồm khoa Chẩn Đoán Hình Ảnh, khoa Ung Bướu, khoa Nội Tổng Quát, khoa Phẫu Thuật Tim Mạch Lồng Ngực và khoa Ngoại Tiêu Hóa Gan Mật Tụy được diễn ra. Sau khi xem xét kỹ kết quả, các bác sĩ đánh giá khối u còn trong giai đoạn có thể điều trị triệt căn, lựa chọn đốt khối u lại không khả thi do khối u nằm sâu trong nhu mô và sát mạch máu lớn nên việc cắt gan phải được đưa ra. Song song với việc phải đảm bảo thể tích gan trái còn lại đủ duy trì chức năng và đảm bảo rìa diện cắt triệt căn ung thư cũng như ngăn ngừa tái phát.
Ca phẫu thuật cắt gan phức tạp do khối u nằm sâu, sát mạch máu lớn
Trong quá trình mổ, ê – kíp các bác sĩ khoa Ngoại Tiêu Hóa Gan Mật Tụy đã thám sát và phát hiện khối u có kích thước chỉ khoảng 2cm. Tuy nhiên, khối u không nằm trên bề mặt mà nằm sâu trong nhu mô gan, ở vị trí rất sát mạch máu lớn ở gan. Vì thế, các bác sĩ phải sử dụng siêu âm trong mổ để xác định chính xác vị trí khối u và khống chế tất cả các mạch máu lớn nuôi gan, tránh chảy máu ồ ạt.
ThS. BS. CKII. Phan Văn Sơn – Khoa Ngoại Tiêu Hóa Gan Mật Tụy Bệnh viện Đa khoa Xuyên Á, người tham gia thực hiện ca mổ cho biết: “Phẫu thuật cắt gan phải là phẫu thuật lớn, đòi hỏi phải đánh giá tổng trạng bệnh nhân và thể tích gan trái còn đủ để duy trì chức năng cơ thể hay không. Vì gan phải chiếm khoảng 60 – 70% gan và gan trái chỉ chiếm 30 – 40%. Nếu phần gan trái còn lại không đủ sẽ dẫn tới suy gan sau mổ, đặc biệt là trên bệnh nhân có bệnh nền xơ gan sẵn và có thể dẫn đến tử vong. Trong lúc cắt gan phải có đội ngũ gây mê hồi sức tốt và theo sát tình trạng bệnh trong mổ và hồi sức sau mổ, do quá trình cắt gan gây chảy máu nhiều và phải duy trì huyết áp thấp để giảm tình trạng chảy máu.”
Nhờ sự phối hợp chặt chẽ giữa ê – kíp phẫu thuật, gây mê hồi sức và lồng ngực mạch máu, ca mổ diễn ra an toàn và chính xác từng milimet.
Sau mổ, bệnh nhân hồi phục tốt, các chỉ số chức năng gan diễn tiến tốt. Người bệnh ăn uống bình thường vào ngày thứ 2 sau mổ và được xuất viện trong tình trạng khỏe mạnh.
Tầm soát định kỳ để phát hiện sớm ung thư gan, điều trị hiệu quả
Trường hợp bệnh nhân A. là lời cảnh báo cho những người có bệnh nền xơ gan, viêm gan B hoặc C mạn tính, đừng bỏ qua những triệu chứng nhỏ như cơn đau vùng thượng vị, mệt mỏi, chán ăn,….và cần chủ động tầm soát ung thư gan định kỳ để phát hiện sớm tổn thương. Nếu khối u không được phát hiện sớm, khi đã lớn hoặc xâm lấn mạch máu, việc điều trị triệt căn sẽ rất khó khăn, tiên lượng xấu.
“Ung thư gan nếu phát hiện sớm vẫn có thể điều trị khỏi bằng phẫu thuật hoặc can thiệp tại chỗ. Vì vậy, đối với những bệnh nhân có yếu tố nguy cơ cao mắc ung thư gan như: người viêm gan B, C mạn tính, xơ gan… cần được theo dõi khám định kỳ tầm soát ung thư gan với các phương tiện chẩn đoán hình ảnh học hiện đại như siêu âm, đặc biệt là MSCT hoặc MRI để phát hiện khối u giai đoạn sớm.”, bác sĩ Sơn khuyến cáo.
Để được tư vấn và đặt lịch khám các bệnh lý tại Bệnh viện Đa khoa Xuyên Á, quý khách có thể liên hệ:
BỆNH VIỆN ĐA KHOA XUYÊN Á – TP. HỒ CHÍ MINH
Địa chỉ: Số 42, đường Phan Văn Khải, ấp Chợ, xã Củ Chi, TP. Hồ Chí Minh
Tổng đài miễn phí: 1800 9075 nhấn phím 1
Facebook: BVXA – Bệnh Viện Đa Khoa Xuyên Á
–
BỆNH VIỆN ĐA KHOA XUYÊN Á – VĨNH LONG
Địa chỉ: Số 68E Phạm Hùng, Phường Long Châu, Tỉnh Vĩnh Long
Tổng đài miễn phí: 1800 9075 nhấn phím 2
Facebook: BVXA – Bệnh Viện Đa Khoa Xuyên Á Vĩnh Long
–
BỆNH VIỆN ĐA KHOA XUYÊN Á TÂY NINH
Địa chỉ: Số 10 Xuyên Á, ấp Trâm Vàng 3, phường Gò Dầu, tỉnh Tây Ninh
Tổng đài miễn phí: 1800 9075 nhấn phím 3
Facebook: BVXA – Bệnh Viện Đa Khoa Xuyên Á Tây Ninh
–
BỆNH VIỆN ĐA KHOA XUYÊN Á LONG AN
Địa chỉ: Số 459, Đường tỉnh 825, Ô 4, Khu A, xã Hậu Nghĩa, tỉnh Tây Ninh
Tổng đài tư vấn: 1800 9075 – Nhấn phím 4
Facebook: BVXA – Bệnh Viện Đa Khoa Xuyên Á Long An
Chưa có bình luận nào.