THẦN TỐC CAN THIỆP MẠCH VÀNH, CỨU CỤ BÀ 91 TUỔI THOÁT KHỎI NHỒI MÁU CƠ TIM NGUY KỊCH
Nhồi máu cơ tim cấp là tình huống tối khẩn cấp của tim mạch, có thể cướp đi sinh mạng người bệnh chỉ trong vài phút nếu không được xử trí đúng thời điểm. Tại Bệnh viện Đa khoa Xuyên Á Tây Ninh, tinh thần phản ứng nhanh cùng kinh nghiệm can thiệp vững vàng của đội ngũ bác sĩ đã giúp cứu sống thêm một bệnh nhân ở tuổi ngoài 90, độ tuổi mà mỗi biến cố sức khỏe đều là thử thách lớn.
Cụ bà T.T.K (91 tuổi, ngụ Trảng Bàng – Tây Ninh), nhập viện trong tình trạng đau ngực dữ dội, nôn ói, nổi mẩn đỏ toàn thân và khó chịu sau khi được tiêm thuốc tại nhà vì nghĩ cụ bị đau dạ dày. Triệu chứng nhanh chóng trở nặng, gia đình lập tức đưa cụ đến Bệnh viện Đa khoa Xuyên Á Tây Ninh cấp cứu.
Ngay khi tiếp nhận, ekip Cấp cứu đã kích hoạt quy trình xử trí nhồi máu cơ tim cấp. Kết quả: Điện tim ghi nhận hình ảnh nhồi máu cơ tim cấp thành dưới kèm rung nhĩ, xét nghiệm cho thấy men tim Troponin I tăng cao, rối loạn điện giải, bạch cầu tăng,… Đánh giá tổng thể cho thấy bệnh nhân ở mức nguy cơ rất cao, cần chụp và can thiệp mạch vành khẩn cấp để bảo toàn tính mạng.
Cụ K. nhanh chóng được chuyển vào phòng DSA. Kết quả chụp mạch vành cho thấy hệ mạch vành của cụ bà vôi hóa nặng, một tình huống rất nguy hiểm ở người lớn tuổi, trong đó động mạch vành phải bị tắc hoàn toàn, nguyên nhân trực tiếp gây ra cơn nhồi máu cơ tim cấp.
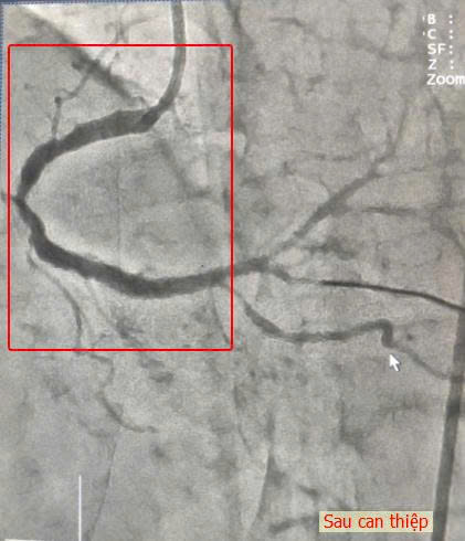
Nhận định mức độ nguy kịch, ekip Can thiệp Tim mạch lập tức tiến hành tái thông mạch vành khẩn. Thủ thuật được thực hiện nhanh chóng và chính xác, stent được đặt thành công, dòng chảy mạch máu phục hồi tối ưu. Toàn bộ quá trình diễn ra an toàn, không ghi nhận biến chứng.
Sau can thiệp, cụ bà giảm đau ngực rõ, được chuyển ICU theo dõi. Chỉ 24 giờ sau, huyết động cải thiện và cụ được chuyển về Khoa Nội Tim mạch – Can thiệp Tim mạch điều trị tiếp tục. Cụ K. hồi phục ổn định và xuất viện sau 7 ngày.
BS.CKI Hồ Văn Mót, Phó Trưởng Khoa Nội Tim mạch – Can thiệp Tim mạch, Bệnh viện Đa khoa Xuyên Á Tây Ninh chia sẻ: “Trường hợp cụ bà 91 tuổi này là một ca bệnh khó, bởi tuổi rất cao, hệ mạch vành vôi hóa nặng và các chỉ số cấp cứu đều ở mức nguy hiểm. Tuy nhiên, nhờ được đưa đến bệnh viện đúng thời điểm, chúng tôi có cơ hội kích hoạt quy trình Nhồi máu cơ tim cấp và thực hiện can thiệp trong khoảng thời gian vàng. Trong cấp cứu nhồi máu cơ tim, thời gian là yếu tố quyết định. Càng tái thông sớm thì cơ hội cứu sống và hạn chế tổn thương cơ tim càng cao.”

Hình ảnh ekip can thiệp tại phòng DSA

Hình ảnh sau can thiệp đặt stent
Bác sĩ Mót cũng nhấn mạnh tầm quan trọng của việc nhận diện sớm các triệu chứng như đau thắt ngực, khó thở, vã mồ hôi, mệt bất thường… đặc biệt ở nhóm người cao tuổi hoặc có yếu tố nguy cơ như tăng huyết áp, đái tháo đường, rối loạn mỡ máu, hút thuốc lá. Khi xuất hiện các dấu hiệu nghi ngờ, tuyệt đối, không tự ý điều trị tại nhà, người bệnh cần đến ngay cơ sở y tế có khả năng can thiệp tim mạch để được xử trí kịp thời, tránh biến chứng đáng tiếc.
Tại Bệnh viện Đa khoa Xuyên Á Tây Ninh, quy trình CODE Nhồi máu cơ tim được triển khai 24/24 với sự phối hợp nhanh chóng giữa Khoa Cấp cứu, Nội Tim mạch – Can thiệp Tim mạch, cùng hệ thống chụp – can thiệp mạch DSA hiện đại, đã giúp nhiều bệnh nhân vượt qua lằn ranh sinh tử, bao gồm cả những trường hợp cao tuổi. Câu chuyện của cụ bà 91 tuổi một lần nữa khẳng định sự chuyên nghiệp, kinh nghiệm và tinh thần sẵn sàng của đội ngũ y bác sĩ trong từng phút giây quý giá.
Để được tư vấn và đặt lịch khám các bệnh lý tại Bệnh viện Đa khoa Xuyên Á, quý khách có thể liên hệ:
BỆNH VIỆN ĐA KHOA XUYÊN Á – TP. HỒ CHÍ MINH
Địa chỉ: Số 42, đường Phan Văn Khải, ấp Chợ, xã Củ Chi, TP. Hồ Chí Minh
Tổng đài miễn phí: 1800 9075 nhấn phím 1
Facebook: BVXA – Bệnh Viện Đa Khoa Xuyên Á
–
BỆNH VIỆN ĐA KHOA XUYÊN Á – VĨNH LONG
Địa chỉ: Số 68E Phạm Hùng, Phường Long Châu, Tỉnh Vĩnh Long
Tổng đài miễn phí: 1800 9075 nhấn phím 2
Facebook: BVXA – Bệnh Viện Đa Khoa Xuyên Á Vĩnh Long
–
BỆNH VIỆN ĐA KHOA XUYÊN Á TÂY NINH
Địa chỉ: Số 10 Xuyên Á, ấp Trâm Vàng 3, phường Gò Dầu, tỉnh Tây Ninh
Tổng đài miễn phí: 1800 9075 nhấn phím 3
Facebook: BVXA – Bệnh Viện Đa Khoa Xuyên Á Tây Ninh
–
BỆNH VIỆN ĐA KHOA XUYÊN Á LONG AN
Địa chỉ: Số 459, Đường tỉnh 825, Ô 4, Khu A, xã Hậu Nghĩa, tỉnh Tây Ninh
Tổng đài tư vấn: 1800 9075 – Nhấn phím 4
Facebook: BVXA – Bệnh Viện Đa Khoa Xuyên Á Long An
Chưa có bình luận nào.