Bác sĩ thăm khám nam bệnh nhân trong khi đá banh bị đột quỵ

NAM THANH NIÊN ĐỘT QUỴ NGAY TRÊN SÂN BÓNG

Một nam thanh niên 30 tuổi, đang khoẻ mạnh đã bất ngờ ngã quỵ trong khi đang chơi đá bóng cùng các bạn. May mắn anh đã được các bác sĩ Bệnh viện Đa khoa Xuyên Á tiếp nhận và cấp cứu kịp thời.   Vào khoảng 7 giờ tối, khi đang đá bóng với các […]

Đọc thêm
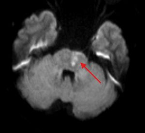
Hình ảnh tổn thương nhồi máu cầu não trái trên phim MRI của bệnh nhân đột quỵ

CƠ HỘI CHO BỆNH NHÂN ĐỘT QUỴ “QUÁ THỜI GIAN VÀNG”

Theo các phác đồ cấp cứu người bệnh đột quỵ trước đây, thời gian vàng để sử dụng rTPA (thuốc tiêu sợi huyết) là trong vòng 4.5 tiếng từ lúc khởi phát đột quỵ. Nhưng hiện nay, có nhiều nghiên cứu chỉ ra rằng đối với 1 số trường hợp đặc biệt vẫn được chỉ […]

Đọc thêm
TỪ CƠN ĐỘT QUỴ THẬP TỬ NHẤT SINH ĐẾN HÀNH TRÌNH HỒI PHỤC KỲ DIỆU CỦA NGƯỜI PHỤ NỮ 55 TUỔI

TỪ CƠN ĐỘT QUỴ THẬP TỬ NHẤT SINH ĐẾN HÀNH TRÌNH HỒI PHỤC KỲ DIỆU CỦA NGƯỜI PHỤ NỮ 55 TUỔI

Một cơn chóng mặt đã khiến người phụ nữ 55 tuổi vốn từng khỏe mạnh, hoạt bát bỗng trở nên yếu liệt nửa người, dường như rơi vào trạng thái vô cảm. Cứ nghĩ rằng bà sẽ phải sống chung với tình trạng này tới cuối đời, nhưng may mắn thay, nhờ sự tiến bộ của y học hiện đại và sự phối hợp đa chuyên khoa trong điều trị, các bác sĩ bệnh viện Đa khoa Xuyên Á đã giúp bà hồi sinh kỳ diệu, cải thiện chức năng vận động và cảm xúc sau một hành trình điều trị gian nan. 

Đọc thêm
Hình ảnh bác sĩ xem kết quả cận lâm sàng của bệnh nhân đột quỵ não khi dùng thuốc tiêu sợi huyết rTPA

ĐANG ĐI CÔNG TÁC, NGƯỜI ĐÀN ÔNG BẤT NGỜ BỊ ĐỘT QUỴ NÃO ĐƯỢC ĐIỀU TRỊ BẰNG THUỐC rTPA

Vừa qua, BVĐK Xuyên Á Vĩnh Long vừa tiếp nhận bệnh nhân N.C.D. (53 tuổi, ngụ TP. Hồ Chí Minh) trong tình trạng đột ngột nói khó, liệt yếu nửa người bên trái. Người nhà nhanh chóng đưa bệnh nhân đến cấp cứu tại bệnh viện. Tại khoa Cấp Cứu, quy trình báo động cấp […]

Đọc thêm
ĐẠT CHUẨN KIM CƯƠNG, BỆNH VIỆN ĐA KHOA XUYÊN Á ĐẠT CHUẨN KIM CƯƠNG, KHẲNG ĐỊNH UY TÍN TRONG CẤP CỨU ĐỘT QUỴ NGOẠI VIỆN

ĐẠT CHUẨN KIM CƯƠNG, BỆNH VIỆN ĐA KHOA XUYÊN Á ĐẠT CHUẨN KIM CƯƠNG, KHẲNG ĐỊNH UY TÍN TRONG CẤP CỨU ĐỘT QUỴ NGOẠI VIỆN

Bệnh viện Đa khoa Xuyên Á vinh dự nhận được Chứng nhận Kim Cương trong lĩnh vực cấp cứu đột quỵ ngoại viện, một giải thưởng danh giá được công nhận bởi Tổ chức Đột quỵ Thế giới (WSO) và Hiệp hội Cấp cứu Ngoại viện Châu Âu (EUSEM). Giải thưởng EMS Angels được trao […]

Đọc thêm
Gọi cấp cứu
Tổng đài: 1800 9075 Cấp cứu 24/24: (083) 9999 910 CC Củ Chi: (0283) 7966 999 CC Vĩnh Long: (0270) 6250 999 CC Long An: (0272) 3649 999 CC Tây Ninh: (0276) 3762 999