BƯỚU GIÁP KHỔNG LỒ KHIẾN CỤ BÀ KHÀN GIỌNG, NUỐT VƯỚNG NHIỀU NĂM
Cụ bà 77 tuổi vừa trải qua ca phẫu thuật loại bỏ bướu giáp khổng lồ, có kích thước 9cm, giúp bà chấm dứt tình trạng nuốt vướng, khàn giọng vì phải sống chung với bướu suốt 5 năm qua.
Bướu giáp khổng lồ khiến cụ bà khàn giọng, nuốt vướng trong nhiều năm
Bà N. T. G (77 tuổi, Tây Ninh) phát hiện có cục u ở cổ cách đây hơn 5 năm. Bà có đi thăm khám thì được chẩn đoán bị bướu giáp. Vì là bướu lành tính, không gây đau cho cơ thể cũng như không ảnh hưởng đến chất lượng cuộc sống nên bà không điều trị.
Theo thời gian, bướu ngày càng to dần, bướu chèn ép khiến bà nuốt vướng, khàn giọng, gặp khó khăn khi ăn uống và giao tiếp. Vì thế, gia đình đã đưa bà đến Bệnh viện Đa khoa Xuyên Á thăm khám và điều trị.
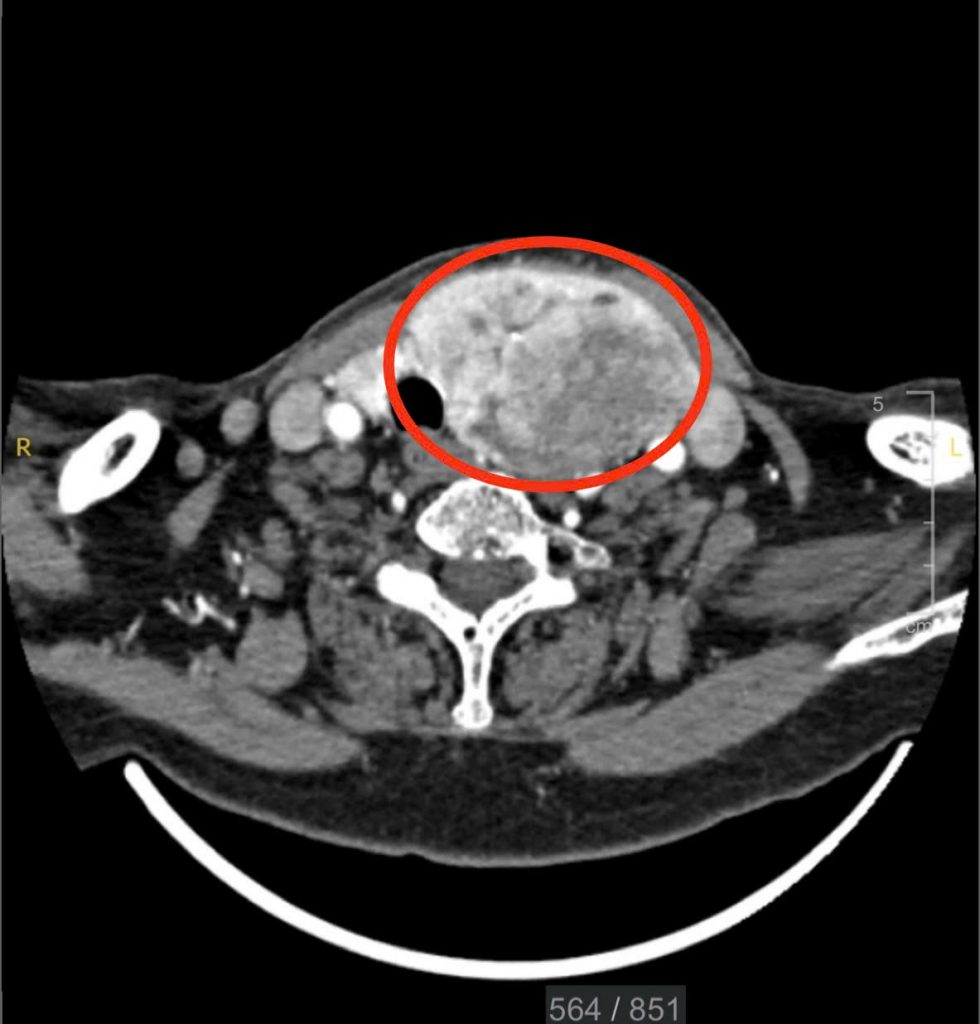
Tại phòng khám Ung Bướu, BS. CKII. Huỳnh Kiến Thành đã tư vấn và chỉ định bà chụp CT vùng cổ. Kết quả ghi nhận bà G. có bướu giáp đa nhân hai thùy khổng lồ, kích thước bướu thùy trái lên đến 9cm, bướu lộ ra ngoài.

Hình ảnh CT cho thấy khối bướu giáp
Với bướu giáp lớn, gây chèn ép thực quản khiến bà G. nuốt vướng và chèn ép dây thần kinh thanh quản khiến bà khàn giọng, nếu để lâu không mổ thì bướu sẽ tiếp tục chèn ép đường thở khiến cụ bà khó thở. Vì thế, các bác sĩ khoa Ung Bướu đã quyết định phẫu thuật bóc lấy bướu giáp, loại bỏ những biến chứng nguy hiểm cho sức của bà sau này.
Đồng thời, bên cạnh yếu tố tuổi tác, bà G. còn có nhiều bệnh lý nền như tim mạch, huyết áp, đái tháo đường,… Vì vậy, các bác sĩ của nhiều chuyên khoa như tim mạch, nội tiết đã phối hợp để kiểm soát tốt tất cả các bệnh lý nội khoa trước khi tiến hành ca mổ.
Phẫu thuật lấy bướu giáp bằng dao siêu âm – cầm máu tốt, rút ngắn thời gian, hiệu quả cao
BS. CKII. Huỳnh Kiến Thành – Phó trưởng khoa Ung Bướu Bệnh viện Đa khoa Xuyên Á, trưởng ê – kíp phẫu thuật cho biết: “Bệnh nhân G. lớn tuổi, có bướu giáp to nên vấn đề đặt ra với chúng tôi là phải thực hiện kỹ thuật cầm máu cẩn thận để hạn chế tình trạng mất máu trong lúc mổ. Vì thế, chúng tôi đã lựa chọn phẫu thuật lấy bướu giáp bằng dao siêu âm giúp cầm máu tốt, rút ngắn thời gian phẫu thuật và mang đến hiệu quả cao cho người bệnh.”
So với dao mổ điện, việc sử dụng dao mổ siêu âm để cắt và hàn mạch máu mang đến nhiều ưu điểm như cầm máu tốt hơn, giảm thiểu nguy cơ chảy máu trong và sau mổ. Kỹ thuật này còn hỗ trợ phẫu thuật viên giảm bớt thao tác, nhờ đó rút ngắn thời gian phẫu thuật, hạn chế tối đa sự tác động vào các mô xung quanh, mang đến hiệu quả điều trị cao.

Khối bướu giáp lớn được lấy ra
Sau phẫu thuật, bệnh nhân G. đã tìm lại cảm giác nhẹ nhõm vùng cổ, không còn cảm giác vướng họng, bà ăn uống bình thường. Đặc biệt, bà G. vui mừng vì sau mổ bà có thể nói chuyện bình thường, không còn khàn giọng, tự tin giao tiếp với mọi người xung quanh.
Theo kế hoạch, sau phẫu thuật người bệnh sẽ phải duy trì uống hormone tuyến giáp nhằm thay thế nội tiết do tuyến giáp sản xuất, tránh nguy cơ suy giáp.
Tầm soát sức khỏe định kỳ để phát hiện và điều trị hiệu quả bướu giáp
Khám sức khỏe tổng quát và siêu âm tuyến giáp định kỳ ở phụ nữ là “chìa khóa” giúp tầm soát sớm các bệnh lý tuyến giáp. Ngoài ra, khi phát hiện vùng cổ có những triệu chứng bất thường như nuốt vướng, khàn tiếng kéo dài, hoặc sờ thấy cục u thì chúng ta nên đi thăm khám kiểm tra ngay.
Với những bướu giáp có kích thước lớn, việc trì hoãn phẫu thuật sẽ gây ra những biến chứng chèn ép thực quản, chèn ép dây thần kinh thanh quản khiến người bệnh nuốt vướng, khàn giọng. Thậm chí khối bướu lớn còn chèn ép đường thở gây khó thở, nguy hiểm cho tính mạng.
Qua đó, bác sĩ Huỳnh Kiến Thành khuyến cáo người dân nên tầm soát sức khỏe tuyến giáp định kỳ, khi phát hiện có bướu giáp lớn thì nên đến các cơ sở y tế uy tín để phẫu thuật điều trị sớm nhằm tránh các biến chứng nguy hiểm sức khỏe cũng như tránh những khó khăn khi thực hiện phẫu thuật loại bỏ bướu giáp.
Để được tư vấn và đặt lịch khám các bệnh lý tại Bệnh viện Đa khoa Xuyên Á, quý khách có thể liên hệ:
BỆNH VIỆN ĐA KHOA XUYÊN Á – TP. HỒ CHÍ MINH
Địa chỉ: Số 42, đường Phan Văn Khải, ấp Chợ, xã Củ Chi, TP. Hồ Chí Minh
Tổng đài miễn phí: 1800 9075 nhấn phím 1
Facebook: BVXA – Bệnh Viện Đa Khoa Xuyên Á
–
BỆNH VIỆN ĐA KHOA XUYÊN Á – VĨNH LONG
Địa chỉ: Số 68E Phạm Hùng, Phường Long Châu, Tỉnh Vĩnh Long
Tổng đài miễn phí: 1800 9075 nhấn phím 2
Facebook: BVXA – Bệnh Viện Đa Khoa Xuyên Á Vĩnh Long
–
BỆNH VIỆN ĐA KHOA XUYÊN Á TÂY NINH
Địa chỉ: Số 10 Xuyên Á, ấp Trâm Vàng 3, phường Gò Dầu, tỉnh Tây Ninh
Tổng đài miễn phí: 1800 9075 nhấn phím 3
Facebook: BVXA – Bệnh Viện Đa Khoa Xuyên Á Tây Ninh
–
BỆNH VIỆN ĐA KHOA XUYÊN Á LONG AN
Địa chỉ: Số 459, Đường tỉnh 825, Ô 4, Khu A, xã Hậu Nghĩa, tỉnh Tây Ninh
Tổng đài tư vấn: 1800 9075 – Nhấn phím 4
Facebook: BVXA – Bệnh Viện Đa Khoa Xuyên Á Long An
Chưa có bình luận nào.