CAN THIỆP NÚT MẠCH CỨU SỐNG BỆNH NHÂN VỠ BƯỚU THẬN LỚN
Các bác sĩ Bệnh viện Đa khoa Xuyên Á vừa can thiệp nút mạch thành công cứu sống bệnh nhân bị bướu thận kích thước lớn 16cm, khối bướu vỡ, gây xuất huyết nặng. Nhờ được can thiệp kịp thời, người bệnh đã thoát khỏi nguy kịch sốc mất máu đe dọa tính mạng mà không phải trải qua cuộc phẫu thuật xâm lấn.
Khối bướu mỡ cơ mạch thận (ALM) “khổng lồ” bị vỡ, gây xuất huyết và đe dọa tính mạng
Bệnh nhân là bà L. K. B (67 tuổi, Tây Ninh) có tiền sử bị bướu thận AML bên trái (hay còn gọi là bướu mỡ cơ mạch). Bà phát hiện khối bướu cách đây 2 năm và đang theo dõi bệnh tại một bệnh viện trong thành phố.
Vào một buổi sáng, bà bất ngờ lên cơn đau hông lưng bên trái dữ dội, cơ thể mệt mỏi, khó thở. Người nhà đưa bà đến một bệnh viện gần nhà thăm khám, kết quả chụp CT bụng phát hiện thận trái của bà có khối bướu ALM lớn, kích thước 16cm và có máu bên trong. Các bác sĩ nghi ngờ tình trạng xuất huyết sau phúc mạc do bướu vỡ – một biến chứng nguy hiểm có thể đe dọa tính mạng nếu không xử trí kịp thời.

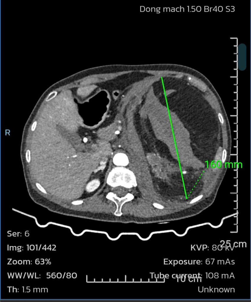
Hình ảnh CT scan

Hình ảnh CT scan khối bướu thận gây xuất huyết
Lập tức, người bệnh được chuyển cấp cứu đến Bệnh viện Đa khoa Xuyên Á để can thiệp điều trị.
“Bướu mỡ cơ mạch thận (ALM) là một bướu lành tính của thận, thường gặp ở nữ giới trung niên, phát triển âm thầm và hiếm khi gây triệu chứng. Tuy nhiên, khi khối bướu phát triển quá to (trên 4cm), mạch máu bên trong bướu có nguy cơ vỡ gây xuất huyết, đây là một tình trạng nguy hiểm, thậm chí đe dọa tính mạng nếu không cấp cứu kịp thời.”, ThS. BS. Nguyễn Đoàn Ngọc Trấn – khoa Ngoại Tiết Niệu Bệnh viện Đa khoa Xuyên Á cho biết.
Kịp thời can thiệp nút mạch cầm máu, cứu người bệnh khỏi nguy kịch sốc mất máu
Bà B. được đưa đến Bệnh viện Đa khoa Xuyên Á trong tình trạng huyết áp tụt, khó thở. Các bác sĩ khẩn cấp hồi sức cho bệnh nhân.
Trước tình huống nguy cấp này, các bác sĩ khoa Ngoại Tiết Niệu và Đơn vị Can Thiệp Mạch đã hội chẩn, quyết định tiến hành can thiệp nút mạch cầm máu dưới hệ thống số hóa xóa nền (DSA) để giải quyết tình trạng xuất huyết nặng, thay vì mổ mở như trước đây.

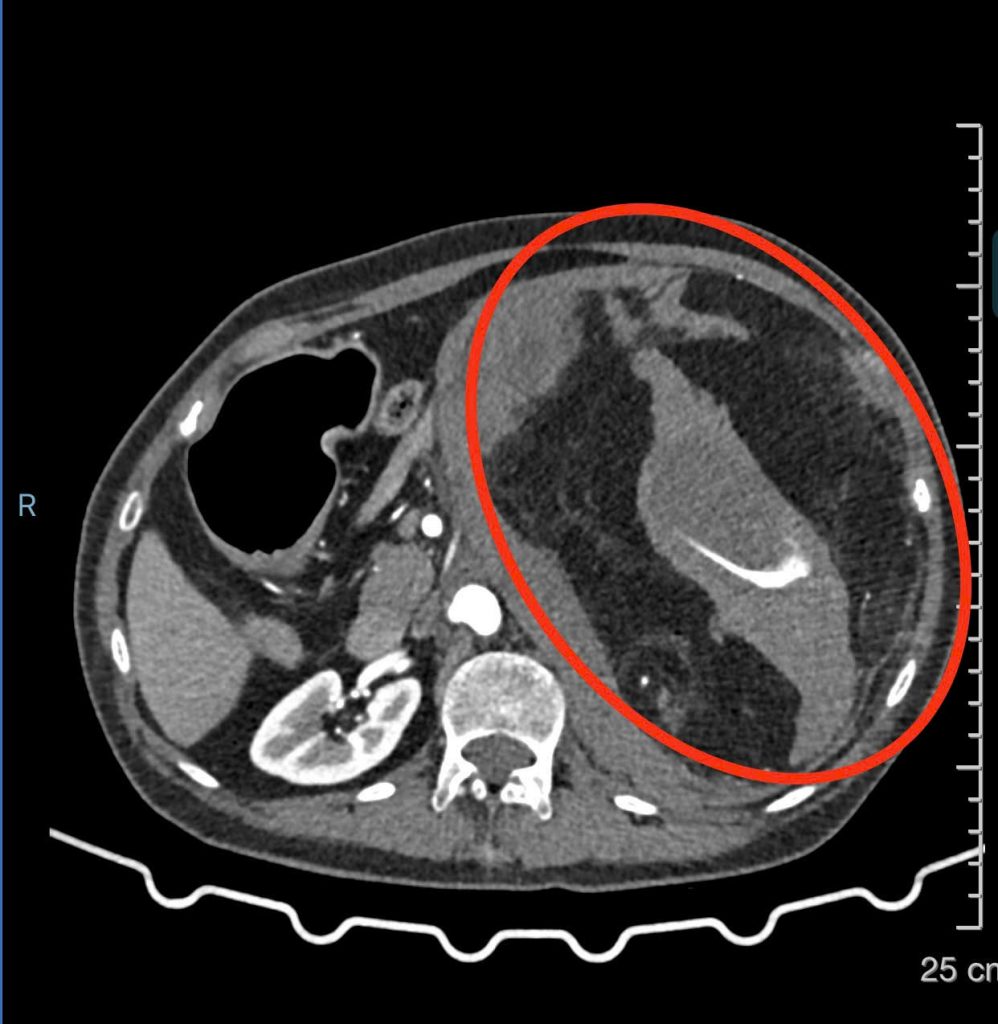
Hình ảnh vị trí chảy máu

Hình ảnh mạch máu sau can thiệp tắc mạch
Dưới sự hướng dẫn của hệ thống DSA, ê – kíp luồn một ống thông nhỏ qua động mạch đùi, đi đến nhánh động mạch thận trái nuôi khối bướu, sau đó tiến hành nút tắc mạch máu bị vỡ bằng vật liệu chuyên dụng.
Trong vòng 45 phút, các bác sĩ đã khống chế tình trạng chảy máu và ngăn chặn hiệu quả nguồn máu nuôi bướu nhằm làm teo nhỏ khối bướu về sau.
ThS. BS. Nguyễn Đoàn Ngọc Trấn – khoa Ngoại Tiết Niệu BVĐK Xuyên Á cho biết: “Can thiệp nội mạch là phương pháp ít xâm lấn, được ưu tiên thực hiện để nút tắc động mạch nuôi dưỡng bướu, giúp khối bướu ngưng xuất huyết, đồng thời theo thời gian sẽ làm khối bướu từ từ teo nhỏ. Quan trọng nhất đối với bệnh nhân B. lúc này là việc can thiệp nội mạch giúp ngưng tình trạng xuất huyết của bướu để cứu bệnh nhân khỏi cơn sốc mất máu có nguy cơ tử vong.”
Trong trường hợp này, phẫu thuật nội soi hay mổ mở có thể bóc tách khối u nhưng bệnh nhân sẽ phải trải qua một cuộc mổ nặng nề, xâm lấn và tiềm ẩn nhiều nguy cơ như chảy máu, nhiễm khuẩn vết mổ,…khiến cho tình trạng thêm nguy kịch. Ngoài ra,
người bệnh phải đối diện với nguy cơ cắt bỏ một phần nhu mô thận lành hoặc cắt toàn bộ một bên thận, vì sự phân bố mạch máu rất phức tạp.
Vì thế, can thiệp nút mạch điều trị là lựa chọn ưu tiên trong điều trị bướu mỡ cơ mạch thận (AML) kích thước lớn gây xuất huyết. Giải pháp này còn chặn đường cung cấp máu cho khối bướu khiến bướu teo nhỏ dần mà không cần can thiệp phẫu thuật.
Sau một ngày can thiệp, bà B. sinh hiệu ổn định, hết đau hông lưng, tình trạng thiếu máu của bà đã được cải thiện. Người bệnh tiếp tục được theo dõi điều trị tại khoa Ngoại Tiết Niệu và sẽ chụp CT kiểm tra lại khối bướu. Nếu bệnh nhân có tình trạng tái xuất huyết thì giải pháp cuối cùng sẽ là phẫu thuật cắt bướu.
Bướu mỡ cơ mạch thận (AML): Bướu lành nhưng không thể chủ quan
Bướu mỡ cơ mạch là bướu lành tính ở thận, cấu tạo gồm mỡ, cơ và mạch máu. Đây là bệnh lý thường gặp ở phụ nữ trung niên, đa số phát hiện tình cờ khi siêu âm định kỳ.
Khi khối bướu còn nhỏ, bệnh nhân thường không có triệu chứng. Tuy nhiên, nếu khối bướu phát triển lớn (trên 4cm), thành mạch máu trong bướu có thể yếu và dễ vỡ, gây xuất huyết nội, tụt huyết áp, choáng và nguy cơ tử vong cao nếu không can thiệp kịp thời.
Việc điều trị bướu cơ mỡ mạch thận phụ thuộc vào nhiều yếu tố: triệu chứng và kích thước bướu. Nếu bướu có kích thước dưới 4cm, không gây triệu chứng thì chỉ cần theo dõi định kỳ. Nếu bướu lớn hơn 4cm, bướu gây đau âm ỉ hông lưng kéo dài, bướu gây xuất huyết thì cần can thiệp kịp thời khi phát hiện.
Phương pháp can thiệp nút mạch cầm máu vẫn là lựa chọn ưu tiên trong điều trị bướu mỡ cơ mạch thận. Đây là hướng điều trị tiên tiến, giúp cầm máu nhanh, bảo tồn nhu mô thận, rút ngắn thời gian hồi phục và hạn chế biến chứng so với phẫu thuật mở truyền thống.
Khi việc can thiệp nội mạch thất bại ở bệnh nhân, phương án thứ hai sẽ là phẫu thuật. Người bệnh có thể được chỉ định phẫu thuật bảo tồn (chỉ cắt phần bướu và giữ phần còn lại của thận) hoặc phải phẫu thuật cắt luôn thận nếu tình trạng nặng.
Từ trường hợp của bệnh nhân B., bác sĩ Nguyễn Đoàn Ngọc Trấn khuyến cáo người bệnh không nên chủ quan với bất kỳ triệu chứng nhỏ nào, như đau hông lưng, khó thở, choáng váng,… Khi có triệu chứng bất thường, người bệnh cần đến ngay cơ sở y tế uy tín, có khả năng can thiệp cấp cứu để được điều trị kịp thời, hiệu quả. Khi phát hiện bản thân bị bướu mỡ cơ mạch (AML), người bệnh cần thăm khám định kỳ để theo dõi tình trạng bệnh.

Bác sĩ thăm bệnh sau can thiệp
Để được tư vấn và đặt lịch khám các bệnh lý tại Bệnh viện Đa khoa Xuyên Á, quý khách có thể liên hệ:
BỆNH VIỆN ĐA KHOA XUYÊN Á – TP. HỒ CHÍ MINH
Địa chỉ: Số 42, đường Phan Văn Khải, ấp Chợ, xã Củ Chi, TP. Hồ Chí Minh
Tổng đài miễn phí: 1800 9075 nhấn phím 1
Facebook: BVXA – Bệnh Viện Đa Khoa Xuyên Á
–
BỆNH VIỆN ĐA KHOA XUYÊN Á – VĨNH LONG
Địa chỉ: Số 68E Phạm Hùng, Phường Long Châu, Tỉnh Vĩnh Long
Tổng đài miễn phí: 1800 9075 nhấn phím 2
Facebook: BVXA – Bệnh Viện Đa Khoa Xuyên Á Vĩnh Long
–
BỆNH VIỆN ĐA KHOA XUYÊN Á TÂY NINH
Địa chỉ: Số 10 Xuyên Á, ấp Trâm Vàng 3, phường Gò Dầu, tỉnh Tây Ninh
Tổng đài miễn phí: 1800 9075 nhấn phím 3
Facebook: BVXA – Bệnh Viện Đa Khoa Xuyên Á Tây Ninh
–
BỆNH VIỆN ĐA KHOA XUYÊN Á LONG AN
Địa chỉ: Số 459, Đường tỉnh 825, Ô 4, Khu A, xã Hậu Nghĩa, tỉnh Tây Ninh
Tổng đài tư vấn: 1800 9075 – Nhấn phím 4
Facebook: BVXA – Bệnh Viện Đa Khoa Xuyên Á Long An
Chưa có bình luận nào.