CẢNH BÁO “KHOẢNG TỈNH” SAU CHẤN THƯƠNG SỌ NÃO, THANH NIÊN TRẺ BẤT NGỜ RƠI VÀO HÔN MÊ
Sau va chạm xe máy, chàng trai 21 tuổi chỉ bị vài vết trầy xước ngoài da và hoàn toàn tỉnh táo. Tuy nhiên, vài giờ sau, tình trạng nhanh chóng tiến triển xấu đi, đau đầu, tri giác giảm dần và rơi vào lơ mơ.
Khoảng 2 giờ sáng, một nam thanh niên (ngụ tại Tây Ninh) được chuyển vào khoa Cấp Cứu Bệnh viện Đa khoa Xuyên Á Long An trong tình trạng suy giảm ý thức, thang điểm Glasgow chỉ còn 8. Ê-kíp cấp cứu lập tức đánh giá nhanh và chỉ định chụp CT sọ não. Ngay sau đó, người bệnh bất ngờ rơi vào hôn mê sâu, điểm Glasgow tụt xuống còn 6, cho thấy chấn thương sọ não đang diễn tiến hết sức nguy kịch.
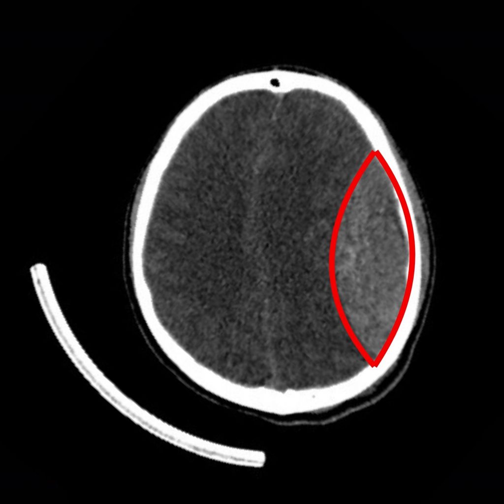
Kết quả chụp MSCT sọ não ghi nhận khối máu tụ ngoài màng cứng cấp tính vùng thái dương – đỉnh trái, kèm theo nứt xương sọ thái dương trái. Khối máu tụ lớn, ước tính khoảng 65 cc, gây chèn ép nhu mô não, khiến tri giác suy giảm nhanh.

Hình ảnh cận lâm sàng trước phẫu thuật

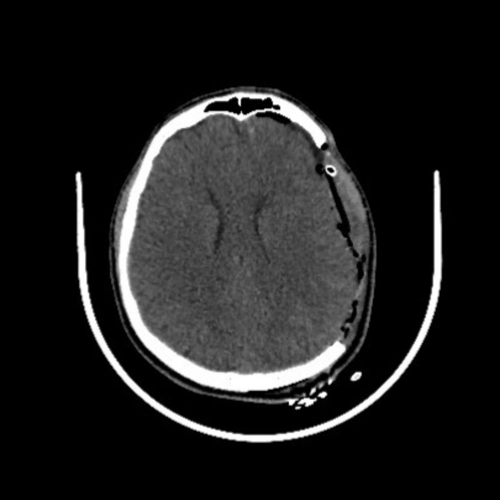
Hình ảnh cận lâm sàng sau phẫu thuật
Trước tình trạng nguy kịch, người bệnh được chỉ định phẫu thuật cấp cứu để lấy máu tụ ngoài màng cứng. Các bác sĩ tiến hành mở sọ, lấy trọn khối máu tụ và nhanh chóng kiểm soát nguồn chảy máu. Đây là nhánh động mạch lớn của màng não, nên việc cầm máu kịp thời đóng vai trò then chốt, giúp ngăn khối máu tụ tiếp tục phát triển, giảm thời gian chèn ép não và hạn chế tối đa nguy cơ di chứng nặng nề sau phẫu thuật như yếu liệt nửa người.
Nhờ hệ thống trang thiết bị hiện đại cùng sự phối hợp nhịp nhàng của đội ngũ y bác sĩ giàu kinh nghiệm, ca phẫu thuật diễn ra thuận lợi.
Sau mổ, người bệnh được chuyển lên khoa Ngoại Thần kinh tiếp tục chăm sóc và điều trị. Những ngày sau đó, anh được chăm sóc vết mổ kết hợp tập vật lý trị liệu nhằm sớm phục hồi chức năng và cải thiện vận động.
Hiện tại, người bệnh đã đủ điều kiện xuất viện, trở về với gia đình trong niềm vui vỡ òa cùng lời cảm ơn chân thành đến tập thể y bác sĩ đã tận tâm cứu chữa.
Theo BS.CKI. Nguyễn Thế Thuần – Trưởng khoa Ngoại Thần Kinh: đây là trường hợp điển hình cho hiện tượng “khoảng tỉnh” sau chấn thương sọ não, tức giai đoạn vẫn hoàn toàn tỉnh táo sau khi bị va đập vùng đầu. Người bệnh giao tiếp bình thường, biết phản ứng với đau, cảm thấy khát nước… khiến cả người bệnh lẫn người xung quanh dễ chủ quan, nghĩ rằng tình trạng không đáng lo ngại.
Tuy nhiên, sau vài giờ, thường trong khoảng từ 3 đến 24 giờ, tri giác có thể suy giảm nhanh chóng. Nếu không được theo dõi chặt chẽ và can thiệp kịp thời, người bệnh có thể rơi vào nguy kịch, thậm chí đe dọa tính mạng.

Hình ảnh bác sĩ thăm khám bệnh nhân sau phẫu thuật vì chấn thương sọ não
Do đó, các chuyên gia khuyến cáo tuyệt đối không nên chủ quan khi bị va đập vùng đầu, dù nhẹ hay nặng, cần được đưa ngay đến cơ sở y tế để thăm khám lâm sàng và thực hiện các kiểm tra hình ảnh như CT-Scan hoặc MRI. Việc chẩn đoán sớm và chính xác là yếu tố then chốt giúp cứu sống người bệnh và ngăn ngừa biến chứng nghiêm trọng.
Để được tư vấn và đặt lịch khám các bệnh lý tại Bệnh viện Đa khoa Xuyên Á, quý khách có thể liên hệ:
BỆNH VIỆN ĐA KHOA XUYÊN Á – TP. HỒ CHÍ MINH
Địa chỉ: Số 42, đường Phan Văn Khải, ấp Chợ, xã Củ Chi, TP. Hồ Chí Minh
Tổng đài miễn phí: 1800 9075 nhấn phím 1
Facebook: BVXA – Bệnh Viện Đa Khoa Xuyên Á
–
BỆNH VIỆN ĐA KHOA XUYÊN Á – VĨNH LONG
Địa chỉ: Số 68E Phạm Hùng, Phường Long Châu, Tỉnh Vĩnh Long
Tổng đài miễn phí: 1800 9075 nhấn phím 2
Facebook: BVXA – Bệnh Viện Đa Khoa Xuyên Á Vĩnh Long
–
BỆNH VIỆN ĐA KHOA XUYÊN Á TÂY NINH
Địa chỉ: Số 10 Xuyên Á, ấp Trâm Vàng 3, phường Gò Dầu, tỉnh Tây Ninh
Tổng đài miễn phí: 1800 9075 nhấn phím 3
Facebook: BVXA – Bệnh Viện Đa Khoa Xuyên Á Tây Ninh
–
BỆNH VIỆN ĐA KHOA XUYÊN Á LONG AN
Địa chỉ: Số 459, Đường tỉnh 825, Ô 4, Khu A, xã Hậu Nghĩa, tỉnh Tây Ninh
Tổng đài tư vấn: 1800 9075 – Nhấn phím 4
Facebook: BVXA – Bệnh Viện Đa Khoa Xuyên Á Long An
Chưa có bình luận nào.