ĐỘT QUỴ THỨC GIẤC: DẤU HIỆU CẢNH BÁO ĐIỂN HÌNH – TUYỆT ĐỐI KHÔNG ĐƯỢC CHỦ QUAN!
Đột quỵ thức giấc là tình trạng người bệnh được phát hiện có triệu chứng đột quỵ ngay khi vừa thức dậy, nhưng không rõ về thời điểm khởi phát thực sự. Điều này xảy ra khi bệnh nhân đi ngủ hoàn toàn bình thường, nhưng đến sáng tỉnh dậy thì đã yếu liệt, méo miệng, nói khó… – dấu hiệu của một cơn đột quỵ.
Vừa qua, Bệnh viện Đa khoa Xuyên Á TP.HCM đã tiếp nhận một nam bệnh nhân N.Q.H (50 tuổi, ngụ tại Củ Chi) nhập viện trong tình trạng yếu ½ người phải, lơ mơ, nói đớ kèm theo biểu hiện nôn ói, sức cơ 2/5.
Qua thăm khám lâm sàng, các bác sĩ đã xác định rõ những dấu hiệu điển hình của một cơn đột quỵ, bệnh nhân lập tức được chụp phim MRI khẩn, kết quả cho thấy bị nhồi máu vùng tiểu não và vùng đồi thị bên trái.
Đột quỵ Thức giấc: Thách thức trong chẩn đoán thời gian khởi phát và Cơ hội điều trị tái thông mạch máu
Đáng chú ý, bệnh nhân H. thuộc nhóm “Đột quỵ Thức giấc”. Đây là một tình trạng đột quỵ nguy hiểm vì bác sĩ không biết bệnh nhân bị đột quỵ từ lúc nào. Có thể chỉ mới xảy ra vài phút trước khi tỉnh giấc. Hoặc đã xảy ra từ nhiều giờ trong lúc ngủ
Trong khi đó, một trong những yếu tố quan trọng trong cấp cứu đột quỵ đó là thời gian khởi phát. Vì nó quyết định người bệnh có được điều trị tái thông mạch máu (tiêu sợi huyết hoặc lấy huyết khối) hay không.
Tuy nhiên, nhờ vào chương trình đột quỵ được mở rộng, thời gian sử dụng thuốc tiêu sợi huyết có thể được áp dụng với các trường hợp thỏa một số tiêu chuẩn đặc biệt cho phép sử dụng thuốc tiêu sợi huyết hiệu quả lên đến 24 giờ kể từ lúc khởi phát. Theo tiêu chuẩn thông thường, “thời gian vàng” để sử dụng thuốc tiêu sợi huyết chỉ là 4.5 giờ. Và ông H. thuộc trường hợp đặc biệt này và việc dùng thuốc tiêu sợi huyết vẫn có thể mang lại lợi ích cho bệnh nhân.
Can thiệp nội mạch cấp cứu tắc nghẽn động mạch thân nền: Ứng dụng thuốc tiêu sợi huyết và lấy huyết khối cơ học
May mắn, các bác sĩ đã kịp thời đánh giá vùng nhồi máu vẫn còn cứu vãn được các tế bào não nên bệnh nhân được chỉ định tiêm thuốc tiêu sợi huyết giúp làm tan cục máu đông – nguyên nhân làm tắc nghẽn mạch máu não. Trong quá trình tiêm, bệnh nhân được chụp phim CTA để khảo sát mạch máu, ghi nhận tắc động mạch thân nền.

Hình ảnh phim CTA của bệnh nhân bị “đột quỵ thức giấc”

Hình ảnh phim MRI của bệnh nhân bị “đột quỵ thức giấc”
Động mạch thân nền là một trong những động mạch chính của não. Cấp máu nuôi cho phần não chịu trách nhiệm chính về tri giác, điều hòa hoạt động hệ tim mạch và hô hấp, tất cả các đường dẫn truyền cảm giác và vận động đều đi ngang qua thân não. Do đó nếu động mạch thân nền bị tắc nghẽn và không được tái thông kịp thời thì hậu quả rất nặng nề. Bệnh nhân thường hôn mê nhanh chóng, có thể liệt tứ chi. Rối loạn hoạt động hệ tim mạch và hô hấp nên có thể dẫn đến tử vong nhanh chóng hoặc để lại di chứng cực kỳ nặng nề. Tuy nhiên nếu được điều trị kịp thời thì bệnh nhân thường phục hồi rất ngoạn mục.
Đứng trước tình trạng nguy cấp vì diễn tiến bệnh có thể trở nặng bất kỳ lúc nào, các bác sĩ đã khẩn trương tư vấn và thực hiện phương pháp can thiệp mạch lấy huyết khối để tái thông mạch máu cho bệnh nhân.
Diễn tiến lâm sàng và kết quả điều trị sau can thiệp: Đánh giá sự phục hồi thần kinh sớm
Dưới ánh đèn phòng mổ, sinh mạng bệnh nhân đang nằm trong tình trạng nguy kịch và cần sự can thiệp tức thì. Trong khoảnh khắc sinh tử ấy, mỗi giây phút trôi qua đều quý giá, với sự khẩn trương, chính xác và tập trung cao độ, các bác sĩ đã thành công hút và kéo huyết khối cho bệnh nhân, mang lại tiếng thở phào nhẹ nhõm cho cả ekip. Sau khi các mạch máu não được tái thông hoàn toàn bệnh nhân được tiếp tục chuyển sang phòng Hồi sức tích cực để theo dõi và chăm sóc.

Sau khi tiêm thuốc tiêu sợi huyết (rTPA)

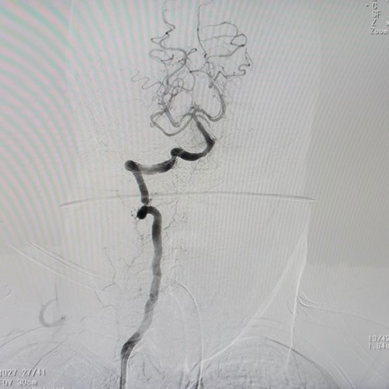
Sau khi can thiệp nội mạch
Sau 2 ngày điều trị tại khoa bệnh nhân đã cai được máy thở, tự thở tốt và được chuyển về khoa Nội thần kinh. Tại đây, bệnh nhân đã tiếp xúc tốt, đi lại được, giọng nói rõ ràng hơn.
Là người theo sát quá trình cấp cứu và điều trị của bệnh nhân, ThS.BS. Đỗ Quốc Vĩnh – Khoa Sọ não cột sống 1 – Bệnh viện Đa khoa Xuyên Á TP.HCM đánh giá cao sự phục hồi ngoạn mục. Qua đây, bác sĩ cũng khuyến cáo: “Không nên chủ quan trong việc để bệnh nhân ở nhà và chờ đợi đến khi phục hồi hay không? Do đó khi phát hiện người nhà có dấu hiệu yếu liệt, méo miệng, nói đớ… cần nhanh chóng đưa bệnh nhân đến bệnh viện gần nhất có đầy đủ phương tiện cấp cứu và điều trị đột quỵ. Việc này giúp bác sĩ đánh giá chính xác thời gian khởi phát đột quỵ và đưa ra phương pháp điều trị kịp thời, bảo vệ tính mạng và chức năng sống bệnh nhân.”
Để được tư vấn và đặt lịch khám các bệnh lý tại Bệnh viện Đa khoa Xuyên Á, quý khách có thể liên hệ:
BỆNH VIỆN ĐA KHOA XUYÊN Á – TP. HỒ CHÍ MINH
Địa chỉ: Số 42, đường Phan Văn Khải, ấp Chợ, xã Củ Chi, TP. Hồ Chí Minh
Tổng đài miễn phí: 1800 9075 nhấn phím 1
Facebook: BVXA – Bệnh Viện Đa Khoa Xuyên Á
–
BỆNH VIỆN ĐA KHOA XUYÊN Á – VĨNH LONG
Địa chỉ: Số 68E Phạm Hùng, Phường Long Châu, Tỉnh Vĩnh Long
Tổng đài miễn phí: 1800 9075 nhấn phím 2
Facebook: BVXA – Bệnh Viện Đa Khoa Xuyên Á Vĩnh Long
–
BỆNH VIỆN ĐA KHOA XUYÊN Á TÂY NINH
Địa chỉ: Số 10 Xuyên Á, ấp Trâm Vàng 3, phường Gò Dầu, tỉnh Tây Ninh
Tổng đài miễn phí: 1800 9075 nhấn phím 3
Facebook: BVXA – Bệnh Viện Đa Khoa Xuyên Á Tây Ninh
–
BỆNH VIỆN ĐA KHOA XUYÊN Á LONG AN
Địa chỉ: Số 459, Đường tỉnh 825, Ô 4, Khu A, xã Hậu Nghĩa, tỉnh Tây Ninh
Tổng đài tư vấn: 1800 9075 – Nhấn phím 4
Facebook: BVXA – Bệnh Viện Đa Khoa Xuyên Á Long An
Chưa có bình luận nào.