NAM SINH 17 TUỔI ĐAU ĐẦU, CHÓNG MẶT THƯỜNG XUYÊN DO U VÙNG TUYẾN TÙNG
Nam sinh 19 tuổi liên tục đau đầu, chóng mặt, mệt mỏi kéo dài và bất ngờ được chẩn đoán mắc u vùng tuyến tùng – một loại u não hiếm gặp, nằm sâu trong não. Các bác sĩ Bệnh viện Đa khoa Xuyên Á đã phối hợp điều trị đa mô thức, giúp bệnh nhân cải thiện tình trạng bệnh để sớm trở lại việc học tập.
Thường xuyên đau đầu, chóng mặt, nam sinh đi khám phát hiện u vùng tuyến tùng
Một tháng nay, cậu học sinh B.G.H (17 tuổi, Củ Chi) thường xuyên trong trạng thái đau nhức đầu, chóng mặt, mức độ đau tăng dần theo thời gian. Gia đình tưởng chừng chỉ là đau đầu thông thường do căng thẳng học tập, nên chỉ cho em dùng thuốc điều trị.
Sau đó tình trạng đau đầu vẫn tái diễn liên tục, có lúc kèm theo nôn ói khiến em mệt mỏi. Nghi ngờ những dấu hiệu bất thường của cơ thể, mẹ em đã đưa em đến cơ sở y tế địa phương thăm khám.
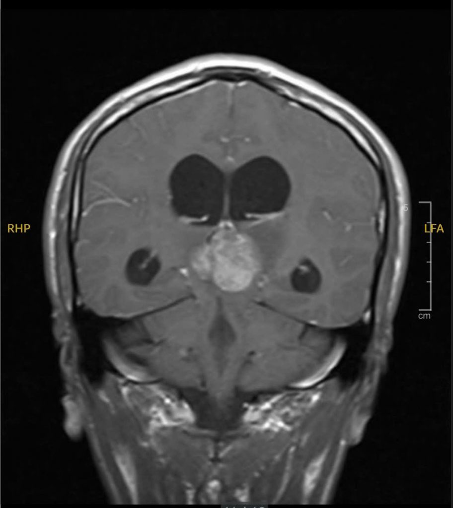
Tại đây, em được chỉ định chụp MRI não thì phát hiện có khối u vùng tuyến tùng – một dạng khối u nằm sâu giữa não, có thể gây chèn ép và cản trở đường lưu thông dịch não tủy. Đây chính là nguyên nhân khiến áp lực nội sọ tăng lên, gây ra những triệu chứng nặng nề mà em trải qua.

Hình ảnh MRI khối u vùng tuyến tùng

Hình ảnh MRI khối u vùng tuyến tùng
Nhận định đây là bệnh lý nguy hiểm, cần can thiệp điều trị càng sớm càng tốt, các bác sĩ ở cơ sở y tế địa phương đã hướng dẫn gia đình đưa em đến Bệnh viện Đa khoa Xuyên Á điều trị.
Phối hợp đa mô thức điều trị u vùng tuyến tùng, cải thiện triệu chứng cho người bệnh
Như đã nêu trên, u vùng tuyến tùng là một khối u nằm ở vị trí sâu trong não, gần trung tâm não – một vị trí rất khó để sinh thiết cũng như can thiệp ngoại khoa. Với một bệnh nhân trẻ tuổi như H. và khối u nằm ở vị trí khó, việc lựa chọn hướng điều trị cho người bệnh là một thách thức lớn.
Sau khi hội chẩn đa chuyên khoa giữa các chuyên gia bác sĩ khoa Sọ Não Cột Sống 2, khoa Ung Bướu, khoa Xạ Trị và Y học Hạt Nhân, thống nhất phối hợp đa mô thức (kết hợp phẫu thuật, hóa trị, xạ trị) điều trị u vùng tuyến tùng cho bệnh nhân, mục tiêu chính là giải quyết tình trạng ứ dịch não tủy, sau đó phối hợp hoá trị và xạ trị để kiểm soát khối u – vốn là loại u rất nhạy với các phương pháp này.
Trước tiên, các bác sĩ khoa Sọ Não Cột Sống 2 tiến hành phẫu thuật đặt ống dẫn lưu não thất – ổ bụng (VP shunt) để giải quyết tình trạng ứ dịch, giúp dẫn lưu dịch não tủy từ não xuống ổ bụng, giảm áp lực nội sọ. Kết thúc ca phẫu thuật căng thẳng, cơn đau đầu, chóng mặt của bệnh nhân giảm rõ rệt. Sau phẫu thuật, em H. bắt đầu bước vào giai đoạn điều trị quan trọng tiếp theo là hóa trị.
ThS. BS. CKI. Nguyễn Hữu Huy – Trưởng Đơn vị Hóa Trị, khoa Ung Bướu BVĐK Xuyên Á cho biết: “Vì khối u vùng tuyến tùng của bệnh nhân là thể bướu mô đệm, đáp ứng tốt với hóa trị nên người bệnh sẽ được hóa trị trước, sau đó đánh giá kết quả rồi lên kế hoạch kết hợp xạ trị đồng thời. Trong quá trình điều trị, các bác sĩ sẽ theo dõi hình ảnh học (MRI) và xét nghiệm máu đo các chỉ số marker ung thư để đánh giá đáp ứng điều trị của bệnh nhân một cách sát sao.”
Hiện tại, sau 6 ngày hóa trị, bệnh nhân đáp ứng tốt với phác đồ điều trị, không còn tình trạng đau nhức đầu, chóng mặt. Theo kế hoạch, người bệnh sẽ trải qua chu kỳ hóa trị 21 ngày, sau đó đánh giá đáp ứng rồi đưa ra kế hoạch xạ trị bổ túc cho bệnh nhân.

Hình ảnh bác sĩ thăm khám bệnh nhân u vùng tuyến tùng
U vùng tuyến tùng – bệnh lý hiếm gặp, không nên chủ quan
U vùng tuyến tùng là khối u nằm ở vị trí tuyến tùng – một tuyến nội tiết nhỏ nằm sâu trong nhu mô não, gần trung tâm não.
U vùng tuyến tùng là bệnh lý hiếm gặp trong dân số chung, chiếm khoảng 1% trong các ca u não ở người lớn và khoảng 3 – 11% ở trẻ em, thường gặp ở trẻ từ 10 – 20 tuổi.
Các dấu hiệu thường gặp của u vùng tuyến tùng là buồn nôn, nôn ói, đau đầu, rối loạn nhịp thở,….Nếu không điều trị kịp thời, u vùng tuyến tùng có thể gây ra tình trạng não úng thủy do khối u chèn ép cống não và não thất III. U vùng tuyến tùng còn gây chèn ép cuống não trên, tiểu não, hố sau của não… gây ra nhiều rối loạn như nhìn mờ, khó ngước mắt, đau đầu, rối loạn tiêu hóa do tăng áp lực nội sọ. Chính vì vậy, khi mắc phải các vấn đề kể trên người bệnh cần đi khám sớm để có hướng điều trị kịp thời, giúp ngăn ngừa sự phát triển của các khối u vùng tuyến tùng.
Để được tư vấn và đặt lịch khám các bệnh lý tại Bệnh viện Đa khoa Xuyên Á, quý khách có thể liên hệ:
BỆNH VIỆN ĐA KHOA XUYÊN Á – TP. HỒ CHÍ MINH
Địa chỉ: Số 42, đường Phan Văn Khải, ấp Chợ, xã Củ Chi, TP. Hồ Chí Minh
Tổng đài miễn phí: 1800 9075 nhấn phím 1
Facebook: BVXA – Bệnh Viện Đa Khoa Xuyên Á
–
BỆNH VIỆN ĐA KHOA XUYÊN Á – VĨNH LONG
Địa chỉ: Số 68E Phạm Hùng, Phường Long Châu, Tỉnh Vĩnh Long
Tổng đài miễn phí: 1800 9075 nhấn phím 2
Facebook: BVXA – Bệnh Viện Đa Khoa Xuyên Á Vĩnh Long
–
BỆNH VIỆN ĐA KHOA XUYÊN Á TÂY NINH
Địa chỉ: Số 10 Xuyên Á, ấp Trâm Vàng 3, phường Gò Dầu, tỉnh Tây Ninh
Tổng đài miễn phí: 1800 9075 nhấn phím 3
Facebook: BVXA – Bệnh Viện Đa Khoa Xuyên Á Tây Ninh
–
BỆNH VIỆN ĐA KHOA XUYÊN Á LONG AN
Địa chỉ: Số 459, Đường tỉnh 825, Ô 4, Khu A, xã Hậu Nghĩa, tỉnh Tây Ninh
Tổng đài tư vấn: 1800 9075 – Nhấn phím 4
Facebook: BVXA – Bệnh Viện Đa Khoa Xuyên Á Long An
Chưa có bình luận nào.