NAM THANH NIÊN ĐỘT QUỴ NGAY TRÊN SÂN BÓNG
Một nam thanh niên 30 tuổi, đang khoẻ mạnh đã bất ngờ ngã quỵ trong khi đang chơi đá bóng cùng các bạn. May mắn anh đã được các bác sĩ Bệnh viện Đa khoa Xuyên Á tiếp nhận và cấp cứu kịp thời.
Vào khoảng 7 giờ tối, khi đang đá bóng với các bạn được khoảng 45 phút, anh B. nam bệnh nhân tên L.Đ.B, (30 tuổi, ngụ tại Củ Chi) đột ngột cảm thấy chóng mặt, mất thăng bằng, rồi ngã gục trên sân trước sự ngỡ ngàng của đồng đội. May mắn thay, nhờ quãng đường di chuyển gần, anh đã được đưa đến Bệnh viện Đa khoa Xuyên Á chỉ sau 20 phút kể từ khi khởi phát triệu chứng.
Tiếp nhận tại khoa Cấp cứu, sau khi thăm khám, các bác sĩ nghi ngờ đây là triệu chứng của một cơn đột quỵ với triệu chứng nổi bật là chóng mặt và thất điều nửa người phải chỉ số huyết áp được ghi nhận là 200/100mmHg.
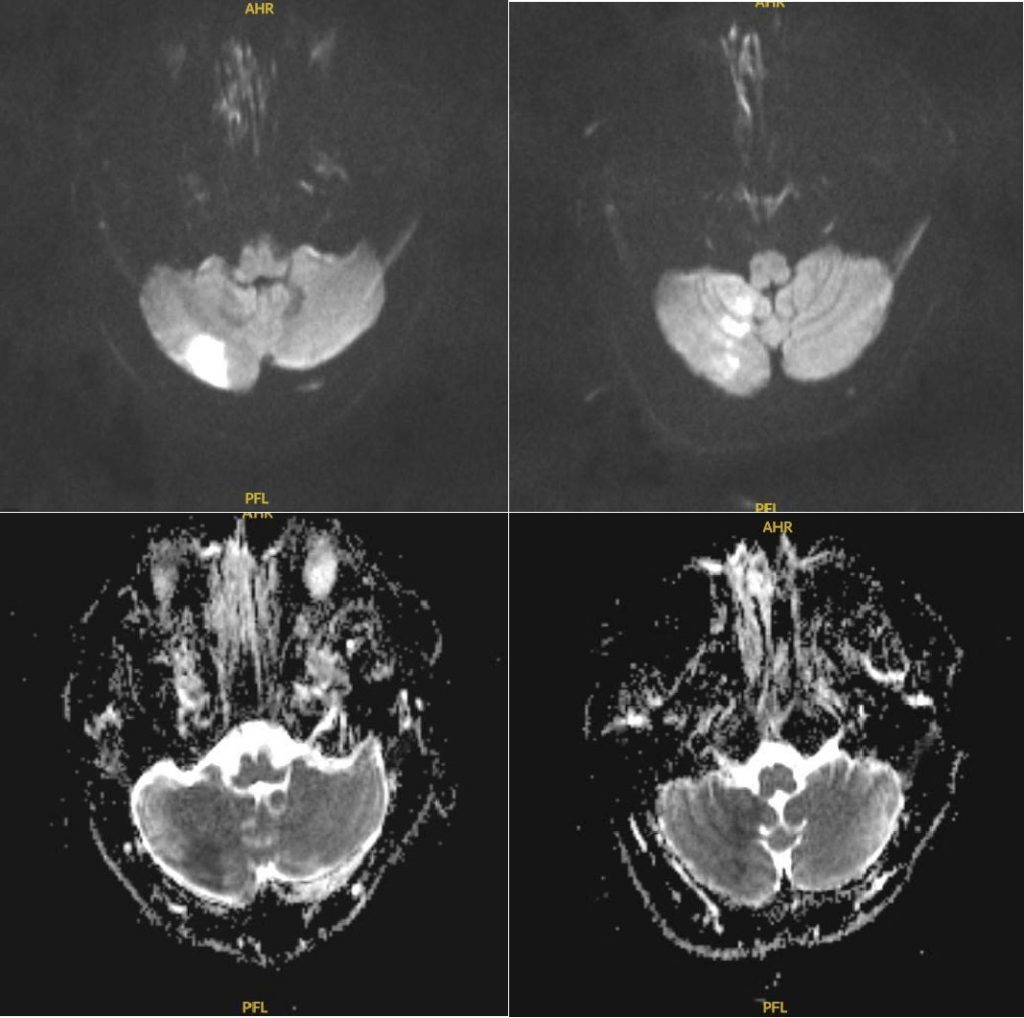
Ngay lập tức, người bệnh được tiến hành chụp MRI, kết quả xác định có vùng nhồi máu tiểu não bên phải. Bệnh nhân được kiểm soát huyết áp, tiêm thuốc tiêu sợi huyết (rTPA) qua đường tĩnh mạch có tác dụng tái thông mạch máu đang bị tắc nghẽn, giúp cấp máu và oxy kịp thời cho các tế bào não đang có nguy cơ bị tổn thương nghiêm trọng.

Hình chụp MRI của bệnh nhân trong khi đá banh bị đột quỵ
Ngay khi tiêm thuốc, bệnh nhân đã giảm chóng mặt nhanh chóng, giảm thất điều và bệnh nhân có thể giữ thăng bằng khi ngồi, cũng như đi lại. Anh B. có thể tự đi lại và vận động bình thường, không ghi nhận hẹp hay tắc mạch máu lớn trên phim CT mạch máu não. Đây là minh chứng rõ rệt cho hiệu quả của việc cấp cứu đột quỵ đúng thời điểm, vì “thời gian là não”.

Hình chụp CTA không ghi nhận tắc mạch máu lớn
Anh B. sau đó được chuyển đến khoa Nội thần kinh Bệnh viện Đa khoa Xuyên Á để tiếp tục điều trị, theo dõi và tầm soát các căn nguyên đột quỵ. Nhờ sự quan tâm, chăm sóc tận tình của đội ngũ bác sĩ, điều dưỡng, bệnh nhân đã được xuất viện sau 7 ngày. Để tránh nguy cơ tái phát, anh B. được khuyến cáo phải tuân thủ nghiêm ngặt việc dùng uống thuốc theo chỉ định của bác sĩ, không tự ý ngưng thuốc và kiểm soát lâu dài bệnh lý tăng huyết áp. Đặc biệt cần bỏ hoàn toàn thói quen uống rượu bia và hạn chế các môn thể thao, vận động quá mạnh vì có thể ảnh hưởng đến mạch máu.
Qua trường hợp bệnh nhân này, BS. Lê Minh Mẫn – Khoa Nội thần kinh Bệnh viện Đa khoa Xuyên Á khuyến cáo: “Khi phát hiện người thân hay người xung quanh có dấu hiệu đột quỵ (theo quy tắc FAST), người dân cần đưa người bệnh đến ngay cơ sở y tế có trung tâm đột quỵ gần nhất để được cứu chữa kịp thời. Tuyệt đối không được điều trị theo phương pháp dân gian vì điều này sẽ làm mất “thời gian vàng”, khiến người bệnh có thể dẫn đến hôn mê, thậm chí nguy hiểm đến tính mạng.”
Các dấu hiệu nhận biết đột quỵ điển hình theo quy tắc F.A.S.T (méo miệng, liệt tay, nói khó, xác định thời gian đưa bệnh nhân đến bệnh viện sớm nhất). Tuy nhiên, một số trường hợp đặt biệt, như bệnh nhân này, có dấu hiệu đột quỵ ít gặp hơn: B.E (chóng mặt, choáng váng, mất thăng bằng, mất thị lực, nhìn mờ, nhìn đôi). Do đó, đôi khi dấu hiệu nhận biết sớm đột quỵ được viết là B.E.F.A.S.T.
Đột quỵ có thể xảy ra khi đang chơi thể thao?
Mặc dù tập luyện thể thao thường xuyên và điều độ giúp giảm nguy cơ đột quỵ về lâu dài, nhưng đột quỵ vẫn có thể xảy ra trong hoặc ngay sau khi tập. Với những lý do như sau:
- Vận động quá sức và cường độ cao: Khi chơi thể thao với cường độ quá cao hoặc gắng sức, nhu cầu oxy và máu cung cấp cho cơ thể, đặc biệt là não bộ, tăng lên đột ngột. Nếu hệ tuần hoàn không kịp đáp ứng, có thể dẫn đến tình trạng thiếu máu cục bộ, gây ra đột quỵ.
- Bệnh lý nền tiềm ẩn: Đây là nguyên nhân hàng đầu. Nhiều trường hợp đột quỵ khi chơi thể thao xảy ra ở những người đã có sẵn các yếu tố nguy cơ hoặc bệnh lý nền về tim mạch và mạch máu mà họ có thể chưa biết, chẳng hạn như:
-
- Tăng huyết áp.
- Bệnh lý tim mạch.
- Dị dạng mạch máu não hoặc các vấn đề về mạch máu khác.
- Khi gắng sức, các bệnh lý này có thể bị kích thích, trở nên trầm trọng hơn, dẫn đến đột quỵ.
- Chấn thương vùng đầu/cổ: Trong các môn thể thao đối kháng hoặc có nguy cơ va chạm cao, chấn thương có thể dẫn đến bóc tách động mạch cổ-não, đây là một nguyên nhân phổ biến gây đột quỵ ở người trẻ và vận động viên.
- Thói quen không tốt: Tập luyện khi thiếu ngủ, mất nước, hoặc ăn uống không khoa học cũng có thể làm tăng nguy cơ.
Vì vậy, việc chơi thể thao cường độ cao có thể tạo ra một áp lực lớn lên hệ thống tim mạch và mạch máu, tác động lên các vấn đề sức khỏe đang tiềm ẩn. Do đó, việc tầm soát sức khỏe định kỳ và tập luyện vừa sức là rất quan trọng để phòng ngừa nguy cơ đột quỵ.
Để được tư vấn và đặt lịch khám các bệnh lý tại Bệnh viện Đa khoa Xuyên Á, quý khách có thể liên hệ:
BỆNH VIỆN ĐA KHOA XUYÊN Á – TP. HỒ CHÍ MINH
Địa chỉ: Số 42, đường Phan Văn Khải, ấp Chợ, xã Củ Chi, TP. Hồ Chí Minh
Tổng đài miễn phí: 1800 9075 nhấn phím 1
Facebook: BVXA – Bệnh Viện Đa Khoa Xuyên Á
–
BỆNH VIỆN ĐA KHOA XUYÊN Á – VĨNH LONG
Địa chỉ: Số 68E Phạm Hùng, Phường Long Châu, Tỉnh Vĩnh Long
Tổng đài miễn phí: 1800 9075 nhấn phím 2
Facebook: BVXA – Bệnh Viện Đa Khoa Xuyên Á Vĩnh Long
–
BỆNH VIỆN ĐA KHOA XUYÊN Á TÂY NINH
Địa chỉ: Số 10 Xuyên Á, ấp Trâm Vàng 3, phường Gò Dầu, tỉnh Tây Ninh
Tổng đài miễn phí: 1800 9075 nhấn phím 3
Facebook: BVXA – Bệnh Viện Đa Khoa Xuyên Á Tây Ninh
–
BỆNH VIỆN ĐA KHOA XUYÊN Á LONG AN
Địa chỉ: Số 459, Đường tỉnh 825, Ô 4, Khu A, xã Hậu Nghĩa, tỉnh Tây Ninh
Tổng đài tư vấn: 1800 9075 – Nhấn phím 4
Facebook: BVXA – Bệnh Viện Đa Khoa Xuyên Á Long An
Chưa có bình luận nào.